
西京医院成功夹闭一例瘤壁钙化颅内巨大动脉瘤
385x330 - 30KB - JPEG

毛母质瘤pilomatricoma,PM(钙化上皮瘤)
550x309 - 32KB - JPEG

钙化上皮瘤
300x225 - 22KB - JPEG

毛母质瘤pilomatrixoma)又称
358x254 - 11KB - JPEG

这是钙化上皮瘤吗?
640x480 - 21KB - JPEG

乳腺纤维瘤伴有钙化是怎么回事 注意事项主要
500x356 - 48KB - JPEG

脑膜瘤镜下(图4)(脑膜瘤|钙化)
550x409 - 506KB - PNG

【脑膜瘤钙化】_瘤钙化_怎么治疗_如何饮食_
500x350 - 46KB - JPEG

砂粒型脑膜瘤(图1)(脑膜瘤|钙化)
550x399 - 499KB - PNG

钙化上皮瘤
1080x810 - 69KB - JPEG

钙化颅咽管瘤旳诊治
600x451 - 118KB - JPEG

钙化颅咽管瘤切除术(肿瘤,颅咽管瘤切除术,钙化
500x378 - 71KB - JPEG

眶脑膜瘤(图)骨骼钙化
433x458 - 9KB - JPEG

钙化颅咽管瘤的表现及诊治-百姓瘦身-莱芜信息
600x1066 - 134KB - JPEG

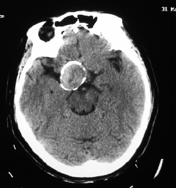
多图|颅内动脉瘤的影像学诊断
618x661 - 99KB - JPEG
概述钙化上皮瘤(calcifying epithelioma),又名毛母质瘤(pilomatrixoma),是由表皮毛皮质分化的细胞肿瘤,
一、首先我们来看一下钙化上皮瘤的表现: 以下照片是我们收治的各种各样的钙化上皮瘤患儿,临床表现多种
你好!是怎么确定就是“钙化瘤”?具体的发生部位是哪里(是皮肤,还是在皮下组织的肌肉或脂肪层)?做过什么
子宫肌瘤钙化是其良性退变的一种。肌瘤钙化可分2种类型,一为弥漫型,表现钙化弥漫分布瘤体内,另一种为
肌瘤钙化可分2种类型,一为弥漫型,表现钙化弥漫分布瘤体内,另一种为边缘性钙化,呈现周边层状钙化。
原发于肝脏的良性肿瘤中,以肝海绵状血管瘤钙化多见,分隔瘤体的纤维隔和小血管可发生钙化,呈斑点状或条
皮下钙化瘤是什么原因造成,是否可以根除 性别:男 年龄:35岁 健康咨询描述:皮下钙化瘤是什么原因造成,