种植体品牌

种植体品牌相关图片

种植牙中该如何选择种植体?
382x341 - 10KB - JPEG

百康种植体】百康种植体品牌、价格
300x300 - 21KB - JPEG

种植牙|种植牙 西安画美大品牌·真技术 进口韩
570x866 - 98KB - JPEG

百康种植体】百康种植体品牌、价格
300x300 - 39KB - JPEG

盐城倍美永康口腔专家告诉你种植牙哪个品牌好
552x371 - 103KB - JPEG

种植体品牌排行
354x267 - 11KB - JPEG

干货 | 主流种植体品牌及费用汇总_全民口腔 -
242x238 - 6KB - JPEG

种植牙|品牌种植体韩国SuperLline 让牙齿缺失
1000x999 - 527KB - JPEG

种植牙|品牌种植体韩国SuperLline 让牙齿缺失
600x400 - 170KB - JPEG

十大世界种植体品牌
600x224 - 15KB - JPEG

牙齿缺失很久了,还能做种植牙吗?
400x300 - 100KB - JPEG

全口种植牙的寿命很长吗?
624x376 - 31KB - JPEG

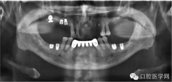
如何在X光片上判断种植体的品牌
560x266 - 60KB - JPEG

如何在X光片上判断种植体的品牌
640x338 - 23KB - JPEG

事推荐过来的,来了大概了解了一下不同品牌的
500x374 - 208KB - PNG

种植体品牌相关问答

种植体的品牌有哪些?什么品牌好?
答:建议士卓曼的种植体,使用突破性新材料的钛锆合金,高价比,获得的使用也会好的多。
国内种植体有多少种品牌?
答:很多吧 有韩国种是道的 和国内自产的种植体价格持平 瑞士 iti 其他的名字也有不过国内不多 不过瑞士 iti 是顶级种植体了 价格相当贵 而且操作极其复杂 不太实用 在国内市场
种植体的品牌推荐个?
答:论品牌的种植牙,我看中的品牌,就是士卓曼。它有超过40年的临床使用经验。这里的种植牙,不错的。
种牙种植体歪斜
答:,韩国的种植体品牌过于繁多,临床上使用较多的种植体是登滕,DIO,登特斯,以上几款种植体使用率挺广泛,各个大型口腔医院基本上都有种植这些品牌,后期维护比较方便,种植体的
韩国种植体品牌奥齿泰好还是登腾好
答:两种植体都是大颗粒喷砂及酸蚀外喷涂技术,植体密度也相仿,但前者的成本略高,进入中国市场较早,售后服务会完善些,但需要注意的不是材质,而是适应症,和操作严谨。这种只关
韩国种植体品牌 奥齿泰 新浪微博是什么?
答: 名字:奥齿泰OSSTEM 网址发不了 望采纳
目前中国有多少种植体品牌,分别来自什么国家?
答: 以色列的丹特因dentin、科特斯cortex,韩国的安美齿IBS、植是道、MEGA'GEN、DIO、奥齿泰OSSTEM、登腾DENTIUM,德国的费亚丹xive、CAMLOG、prussian、美国的杰
两个种植体品牌,美国HIOSSEN?韩国OSSTEM?求推荐!
答:这两个种植体都是很成熟的品牌。 韩国osstem是亚洲第一种植体品牌,已经进入中国十多年,现在市场上有非常多成熟稳定的病例。 hiossen是美国当地非常有代表性的一个品牌
牙科种植体品牌都有哪些?哪个最好?
答:推荐北京民康源,他们的牙科种植体不错,而且也不贵。
种植牙种植体品牌都有哪里的,抚顺做种植哪个牙科品种全,我想
答:听说有欧洲的美国的韩国的,抚顺种植牙有个专科门诊,你到东洲新玛特附近的富甲之邦一期二期之间找一个很大的牙科门诊,嘉年华口腔,种植种类多,价格适中,同等技术下价格比

大家都在看

相关专题