【摘要】:目的探讨MRV对不同时期脑静脉与静脉窦血栓形成(CVST)的诊断价值。方法分析15例CVST患者,同期行MRV和DSA检查,将3D CE-MRV及2D TOF-MRV与DSA进行

脑静脉及静脉窦血栓形成的MRV研究-外科学(神
800x1131 - 66KB - PNG

颅内静脉窦血栓形成的特点.ppt
1152x864 - 1587KB - PNG
CT-MRI-CTV-MRV-DSA对静脉窦血栓的诊断价
300x140 - 15KB - JPEG

综合应用先进技术治疗脑血管病 -广东三九脑科
525x497 - 51KB - JPEG
神经影像:可逆性后部脑病综合征(PRES)
355x187 - 12KB - JPEG

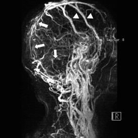
多看多思,练就火眼金睛,绝不放过硬脑膜动静脉
900x350 - 218KB - PNG

磁共振无对比剂血管成像技术(MRA、MRV)的临
573x610 - 34KB - JPEG

朱卿|《神经外科锁孔显微手术中国专家共识》
750x388 - 24KB - JPEG

脑静脉系统血栓形成资料.ppt免费全文阅读
1152x864 - 218KB - PNG

吃一堑长一智:静脉窦血栓误诊为蛛网膜下腔出
283x283 - 83KB - PNG

分块切除枕部巨大脑膜瘤-典型案例-神经外一科
522x436 - 169KB - PNG
颅内静脉窦血栓形成27例临床分析
1410x2059 - 386KB - PNG

脑出血 的标准住院流程(2016年版)
500x281 - 23KB - JPEG

人脑颅后窝桥静脉的显微解剖学、影像学观察及
800x1131 - 139KB - PNG
.png)
核磁诊断在脑静脉窦血栓中的应用价值
566x198 - 4KB - PNG