
神经鞘瘤_图片大全
664x442 - 12KB - JPEG

经典病例_肩胛骨巨大神经鞘瘤1例_医脉通
532x307 - 75KB - JPEG

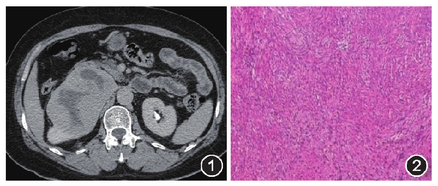
肾神经鞘瘤一例报告
900x382 - 90KB - JPEG

贺晓生教授:颈1-2椎管内外沟通性神经鞘瘤手术切除_西京医院贺晓生_寻医问药专家网
600x337 - 111KB - JPEG

神经鞘瘤(图3)(神经鞘瘤|瘤细胞) - 生物医学 - 生物秀
550x444 - 538KB - PNG

神经鞘瘤神经鞘瘤专家神经鞘瘤病因神经鞘瘤治疗疾病
460x378 - 17KB - JPEG

巨大神经鞘瘤在瑞康医院被成功切除
600x371 - 92KB - JPEG

贺晓生教授:枕颈交界区多发神经鞘瘤
930x523 - 290KB - JPEG

【mr】胸1椎体水平神经鞘瘤
512x512 - 52KB - JPEG

典型手术案例分享:颈5-7腹侧神经鞘瘤
505x271 - 133KB - PNG

黑色素性神经鞘瘤(图)(神经鞘瘤|肿瘤细胞) - 生物医学 - 生物秀
550x400 - 476KB - PNG

伽马刀手术治疗神经鞘瘤_医生在线
500x258 - 31KB - JPEG

神经鞘瘤
232x300 - 16KB - JPEG
张文川教授:周围神经鞘瘤的临床特征及显微外科治疗
720x576 - 90KB - JPEG

椎管内神经鞘瘤
768x576 - 167KB - JPEG
神经鞘瘤是怎么回事? 一、发病原因 神经鞘瘤起源于施万细胞。虽然有一些关于神经瘤病因的推测,但直到现在还没有完全找到真正的诱发因素。目前最倾向的原因是:肿瘤抑制基因缺失。 二、发病机制 肿瘤具有完整的包膜,切面可呈淡红、灰白或黄色。有时可见由变性而形成的囊肿,内含血性液体。镜下见瘤实质主要由神经鞘细胞构成,偶见成熟神经节细胞和神经干参与。根据组织结构特点可分为致密型和网状型两种。 1.致密型(Antoni甲型) 有下列特点:施万细胞通常呈窦状或束条状排列,有细的结缔组织纤维;胞核有呈栅栏状排列倾向,并与无核
简介:神经鞘瘤(neurilemmoma)又称神经膜纤维瘤(schwann cell tumor)或雪旺瘤(Schwannoma),通常为单发性神经鞘瘤,是
有问必答网疾病库为您介绍神经鞘瘤病因,神经鞘瘤症状,神经鞘瘤治疗方法,神经鞘瘤怎么办等相关疾病知识,并提供免费的神经鞘瘤专家即时咨询服务;神经鞘瘤(neurilemmoma
神经鞘瘤也叫做许旺细胞瘤,是由于周围神经的神经鞘所形成的肿瘤,也有人称之为,神经瘤,它是一种良性肿瘤。如果是发生于前庭神经或我神经时候,被称为听神经瘤。生长在脊
39健康网疾病查询向您详细介绍神经鞘瘤症状,神经鞘瘤治疗方法,神经鞘瘤该怎么办,好评专家。概述:神经鞘瘤(neurilemmoma)又称神经膜纤维瘤(schwann cell tu.
你好,神经鞘瘤是生长缓慢的无痛性肿物圆形或卵圆形质地坚韧,如过大者由于瘤体内发生液化可呈囊性,也可穿刺抽出红褐色液体肿物能随神经轴向两则摆动,而不能上下移动源