
印度女子产下无脑巨眼怪婴 当地人奉若神明(图)_新闻频道_中华网
650x487 - 46KB - JPEG

印度挖到诡异人形生物似外星人 有人猜是无脑畸胎好恐怖,热门新闻 汽车中国新闻频道
249x285 - 19KB - JPEG

25人H模式黑角无脑站桩吃小圈打法及战士T心得 - 多玩魔兽世界专区
1737x916 - 203KB - JPEG
何为生命必需 无脑人挑战医学基本概念
450x450 - 26KB - JPEG

无脑人+-+搜狗百科
450x300 - 12KB - JPEG

火线套路大盘点 心机技术无脑冲你是哪种人cf玩家心情_52PK穿越火线专区
550x366 - 64KB - JPEG

部落冲突怎么防止电塔阴人 无脑雪球猪流重现
500x267 - 38KB - JPEG
何为生命必需 无脑人挑战医学基本概念
598x307 - 16KB - JPEG

“无脑人”生活很正常_新闻中心_新浪网
500x284 - 21KB - JPEG

如叶先国那样的无脑人真的存在吗?是灵异
454x529 - 460KB - PNG

萨沙谈让小黑魏振海马失前蹄的民国花口撸子
600x423 - 84KB - JPEG

测试题目:亲爱的,谁是你生命中的守护天使? - 灌
600x399 - 63KB - JPEG

亚健康才是最好的健康状态?!
444x333 - 15KB - JPEG

越无脑越卖座?国人最爱的10部好莱坞大片
2048x1325 - 487KB - JPEG

无脑人酒吧在盘子里饼干酒吧
1280x1280 - 265KB - JPEG
简介:无脑人是无脑畸形和脊柱裂都是胎儿早期就发生的畸形。
“无脑人”可以正常生活的原因就是——意识独立于大脑而存在!人是由身和心组成的,心就是灵魂,意识是存在于灵魂,而不是存在于身体。人的感受和情绪是属于灵魂,身体不会
令人匪夷所思的是,虽然颅内充满大量液体,大脑组织被挤得只剩一点点,可是这名44岁的“无脑人”正常生活并未受到影响。事实上,他不但娶妻生子,还是一名政府公务员。脑力
林家宅37号事件号称是轰动中国的十大灵异事件之一,无脑人叶先国的故事让人毛骨悚然。喜欢节目的小伙伴欢迎关注我的微信公众号:鬼叔怪谈 无脑
在Lorber教授眼里,这样的案例虽然特殊,但并不少见,因为仅他个人就确定了几百例大脑半球都非常小、而智力正常、生活学习跟普通人没有差异的“无脑人”,他形容这些人有着
无脑儿算是先天性畸形的一种,只不过不能长大成“人”,还没生出来或者刚生出来直接就挂掉了。
无脑畸形和脊柱裂都是胎儿早期就发生的畸形。无脑畸形是婴儿头顶部的皮肤和头盖骨都未发育好,大部分大脑也未发育好的一种畸形。 无脑畸形常常在畸形前就死于母体内,虽有少数在出生时存活,但一般在几天内就要死亡,没有存活的病例。 原因: 遗传因素:遗传病是一种能够遗传给子孙后代的疾病,是由于人的遗传物质发生了对人有害的改变而引起的疾病,包括基因突变,染色体数目和结构异常而造成的疾病,最常见的疾病有先天愚型21三体综合症和18三体综合症。 ◎ 环境因素:包括生物因素、化学因素、物理因素和药物因素等。 ◎ 生物因素:是引起出生缺陷较重要的原因之一,特别是母亲在孕期受到某些病原体感染时(包括病毒、细菌、寄生虫等)这些病原体能通过胎盘绒毛屏障或子宫颈上行感染胎儿,主要有TORCH病原群,医生说的TORCH是什么呢?它们是弓形体,风疹病毒,巨细胞病毒,单纯疱疹病毒,此外还有水痘,带状疱疹病毒,肝炎病毒和梅毒螺旋体等。 ◎ 化学因素:农药如敌敌胃、敌百虫,有机氯,有机汞,本氧酸类除草剂,二溴氯丙烷,敌枯双等以及铅、镉、汞、锰、铝等重金属和氯乙烯,氯丁乙烯,丙烯晴等高分子化合物等。 ◎ 物理因素:物理因素是指
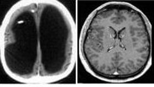
法国“无脑人”震惊医学界 来源:东楚晚报时间:2007-7-22 10:43:00标签: 本报综合消息法国医生日前在为一名44岁法国男子的脑部做CT和核磁共振
无脑人 美国佛吉尼亚州有一个生来就没有脑子的男孩,名叫安德鲁。医生曾断言“这个无脑男婴永远不会笑,能活几个星期就已算幸运了。”可这有头无脑的男孩竟奇迹般地活了