
牙缝变黑怎么办_TOM健康
500x330 - 42KB - JPEG

牙缝变黑是怎么回事
500x350 - 15KB - JPEG

下门牙缝变黑了牙下面黑色是什么_保健网
502x626 - 123KB - JPEG

牙缝发黑 饮食禁忌 会让牙齿变黑的九种食物_
401x294 - 12KB - JPEG

牙缝长出黑石子刷牙也无用?抹点不起眼的它
504x239 - 11KB - JPEG

牙缝发黑 饮食禁忌 会让牙齿变黑的九种食物_
400x294 - 25KB - JPEG

牙缝变黑是龋齿么?
200x200 - 8KB - JPEG
牙缝变黑是龋齿吗?
888x500 - 36KB - JPEG

牙缝变黑,怎么办?
500x379 - 17KB - JPEG

牙齿变色牙缝变黑是什么原因?
538x311 - 22KB - JPEG
牙齿缝黑黑的就是蛀牙吗?
490x311 - 35KB - JPEG

牙缝发黑 饮食禁忌 会让牙齿变黑的九种食物_
451x465 - 29KB - JPEG

门牙缝发黑是怎么回事?
490x325 - 66KB - JPEG

牙缝大怎么办,牙缝怎么清洁,牙缝怎么矫正
200x200 - 6KB - JPEG
给宝宝用牙线会使牙缝变大吗?你想知道的都在
393x298 - 9KB - JPEG
病情分析: 你好,你的情况应该是龋齿,主要是细菌感染滋生引起的,也有可能是牙结石。 指导意见: 建议,你需要到口腔科检查,如果是牙结石造成的,需要清洗牙齿,如果是龋坏的牙齿,需要及时的修补,平时保持口腔卫生,养成早晚刷牙的习惯。
问题分析:你好 你现在情况考虑是牙齿龋坏的 但是不排除牙结石的情况的 及早到医院检查 意见建议:建议 注意休息 必要时做超声龈上洁治的 祝你健康
如果感觉影响美观的话,你可以去口腔科去洗一洗牙。需要认识到洗牙可以使这个症状消失。但是的频繁的洗牙会导致牙釉质的破坏,对身体也是没有太大好处的。
其实你那个黑色的东西就是牙菌斑,主要是由于清洁不洁导致的,也就是说:刷牙没有刷干净彻底导致的,洗牙实际是最有效最快的办法,但是你要是不喜欢洗牙的话,可以考虑买个声波牙刷,这个牙刷的好处就在于:不会损害牙齿,也不会像洗牙那么痛苦,它可以每天使用,而且清洁效果和洗牙基本是一样的,长期使用的话,你的牙菌斑就会自然被洗掉,牙齿也就会亮白起来
病情分析: 根据图片所见,你是牙结石过多。牙结石是牙面上矿化或正在矿化的菌斑及软垢,一旦形成后不能用刷牙的方法除去 指导意见: 建议口腔科做一下牙周洁治。
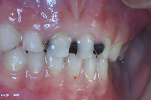
出现牙缝变黑,另外还有洞,者就是蛀牙,也就是龋齿,主要是因为平时不注意口腔卫生引起的。目前几天没有疼痛症状,那平时注意口腔卫生,勤漱口,按时刷牙,吃饭以后
病情分析: 牙缝变黑了是因为两个牙中间有龋坏,能看出变黑了的话说明已经不是很轻微了,应该到口腔医院去治疗,如果从牙片上能确定或者探诊能确定,那么要从舌
3、 长期的抽烟也是很容易造成牙缝变黑这种状况的,长期抽烟烟垢就会是牙缝变得黝黑,如果我们不能够及时的清理的话,牙缝就会变得越来越黑的,所以说我们为了使自己的牙齿
您说的应该是有了龋齿。一般两牙邻接点如果清洁不彻底是最容易发生龋齿的,早发现早治疗没有痛苦,及时把它修补上,外观非常漂亮,看不出来的。否则黑色的部分(细