儿童牙釉质发育不全严重吗?如何解决牙釉质发育不全? - 今日头条(TouTiao.org)
640x480 - 28KB - JPEG

小儿营养与牙齿发育-搜狐健康
360x254 - 10KB - JPEG
宝宝长第一颗乳牙就要刷?!1岁就要戒奶瓶?!这些你是不是都做错了?! - 今日头条(www.toutiao.com)
600x399 - 23KB - JPEG
家长注意:宝宝牙不好可能是牙釉质发育不全,如何预防和治疗?
400x293 - 14KB - JPEG

扒一扒哪些牙病是你没听过的
400x262 - 10KB - JPEG
孩子牙釉质发育不全!
2048x1536 - 129KB - JPEG

小儿营养与牙齿发育-搜狐健康
361x255 - 10KB - JPEG
什么是牙釉质发育不全? - 3023.com
640x239 - 16KB - JPEG
孩子换新牙本来是件很开心的事情 新长出的牙齿怎么看起来怪怪的? - 女性_炫6网_新闻资讯早知道!_热点新闻
493x262 - 14KB - JPEG

你家的牙膏真的适合你吗?专家告诉你,牙膏应该这样选
479x293 - 18KB - JPEG

诚嘉全瓷美牙冠 360°为您打造靓白好牙_大渝网_腾讯网
450x234 - 174KB - PNG

牙釉质发育不全
1024x600 - 185KB - JPEG
为什么高分文章喜欢红配蓝--父亲节谈伴性遗传和电动牙刷
733x518 - 26KB - JPEG

釉质发育不全
480x342 - 18KB - JPEG

全口牙齿发育不全_第B11版:大健康·健康资讯_2014年10月27日_大连晚报数字报_大连新闻网
400x280 - 86KB - JPEG
病情分析:根据你描述的,34岁的女性,目前患有先天性牙釉质,发育不全,影响治疗指导意见:这种情况需要到正规医院的口腔科或者是口腔医院进行就诊,具体的费用需要到医 牙齿
可用贴面或冠修复。牙釉质发育不全是牙齿发育受到障碍留下的记录,是牙齿在颌骨内发育矿化期间所留下的缺陷,不是患儿目前的健康状况,所以已经出现牙釉质发育不全再补充
这几年也带去几次给牙医看过,说是牙釉质发育不全,没事,恒牙替换就会好了,我也是半信半疑。不知道是不是乳牙萌出慢,恒牙替换也慢,现在孩子8岁了,这几天才开始长出第一颗
简介:牙釉质发育不全和牙釉质钙化不全均属于牙釉质发育异常,是牙齿结构异常的一种疾病,是由于牙釉质基质形成
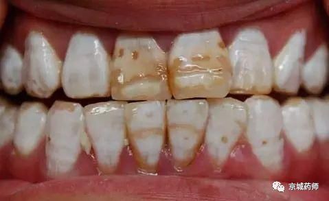
釉质发育不全和釉质钙化不全均属于釉质发育异常,是牙齿结构异常的一种疾病。是在釉质基质形成时的障碍造成的。釉质发育异常的病因:有局部性、遗传性及全身性(如先天性梅毒、营养不良、传染病等)釉质发育不全是釉质形成的量减少,而不是矿化质量的减低。釉质发育不全的病因:有营养缺乏因素,尤其以维生素C、D影响最大;内分泌因素、婴儿和母体的疾病,如小儿麻疹、猩红热等。怀孕期母亲所患风疹、毒血症等也可使在此期间形成的牙釉质不全。【诊断】1.发生在同一时期发育的各个牙面上,可为多个牙齿,尤其前牙的唇面和切缘,后牙的牙尖缺损。根
你好,根据你描述的情况,考虑是先天性釉质发育不全。属于先天性疾病。自己是不会长好的,倒是容易导致牙齿龋坏。建议注意保护牙齿,正确的刷牙漱口,保持口腔卫生清洁。
如题,我有两颗牙齿黄黄的,之前一直以为是刷牙没刷干净,去洗牙的时候顺便问了一句,才知道自己是牙釉质发育不全,黄黄的看起来真的很丑。. 牙釉质发育不全怎么办?只能做烤
问题分析: 您好,釉质发育不全是在牙齿发育期间,由于全身疾病、营养不良或严重的乳牙根尖周感染,导致釉质结构异常。有白恶色,或者些许的条纹黄色。 意见建议:您好,一般釉质发育完全是不带有白恶色的块状颜色的,有些些许的淡黄色,着色均匀。