
口腔诊所挂图 口腔医院标语 口腔健康口号 口腔挂图 口腔挂图-牙周炎的防治_牙周科标语_口腔科标语_医院标语_文化墙 公司文化墙│校园文化墙│企业文化墙图片
572x800 - 55KB - JPEG

【牙周炎案例】从此再也不用忍受牙周炎困扰了!
662x428 - 243KB - PNG

经典病例_浆细胞龈炎伴慢性牙周炎1例报告_医脉通
538x383 - 321KB - PNG

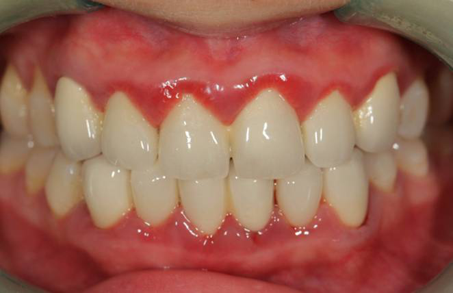
6-12岁儿童也要积极防治牙龈炎和牙周炎
510x461 - 36KB - JPEG

你了解牙齿吗?牙周炎牙龈炎将令你的牙缝变大
550x333 - 41KB - JPEG

蓝海星深海海盐牙膏,牙龈出血,牙周炎,口气清新
616x509 - 81KB - JPEG

【北京晚报】牙龈炎和牙周炎是一回事吗(2015年8月14日第50版)
598x379 - 144KB - PNG

牙周炎有什么症状和表现
498x256 - 20KB - JPEG

牙周炎很严重还能治好吗
475x220 - 12KB - JPEG

牙周炎自测
480x800 - 240KB - PNG

牙周炎的种类图片
683x1024 - 221KB - JPEG

牙周炎的防治源文件_PSD源文件(展板)_展板模
768x1024 - 259KB - JPEG

牙周炎牙龈松动怎么办
400x300 - 64KB - JPEG

牙周炎的治疗方法
600x600 - 92KB - JPEG

牙周炎治疗分四个阶段源文件
683x1024 - 251KB - JPEG
我前几年洗过牙,本来就是牙龈红肿,洗完以后萎缩的超厉害。应该是牙周炎吧。在考虑要不要刮治,刮治以后萎缩的更厉害,不刮治又不知道怎么办 a457011630 中级粉丝 2 妈呀
牙周疾病的治疗特别是牙周炎的治疗一般是采取综合治疗的方法,也就是多个方面、多种方法的联合治疗,同时牙周炎的治疗是有计划的,是按照一定
牙周炎症状图片是怎样的?牙周炎图片是怎样的?看看下面的图片。 牙周炎图片牙周炎症状图片 牙周炎图片牙周炎症状图片 牙周炎图片牙周炎症状图片
继续发展为晚期牙周炎,牙周膜和牙槽骨进一步被破坏,牙齿就要松动、移位。此时如通过治疗已不能保留牙齿,则只好将患牙拔除并安上假牙,以避免
正常的牙龈是不应当出血的,许多人认为牙龈出血是身体“火”太大了,买个败火的牙膏刷牙或吃点败火的药就可以了。实际上,牙龈出血是牙周炎最
简介:牙周炎是累及四种牙周支持组织(牙龈、牙周膜、牙槽骨和牙骨质)的慢性感染性疾病,往往引发牙周支持组织的炎
牙周炎是侵犯牙龈和牙周组织的慢性炎症,是一种破坏性疾病,其主要特征为牙周袋的形成及袋壁的炎症,牙槽骨吸收和牙齿逐渐松动,它是导致成年人牙齿丧失的主要原因。由于龈下微生态环境的特点,龈下菌斑中滋生着大量毒力较大的牙周致病菌,使牙龈的炎症加重并扩延,导致牙周袋形成和牙槽骨吸收,造成牙周炎。如果您有这方面的烦恼,请先到正规的医院诊断,再根据医生的指导进行治疗,切勿自行用药。
牙周炎的发病率很高,年龄越大越容易患上此病,牙周炎到底是什么病?牙周炎图片是怎样的?如何治疗牙周炎?看看下面文章的介绍。 牙周炎是累及四种牙周支持组织(牙龈、牙周
牙周炎图集是详尽的牙周炎图片大全,为您提供大量清晰的牙周炎的症状图片。 治疗及其他 您现在的位置:疾病百科 疾病症状牙周炎 牙周炎 (单纯性牙周炎) 相关疾病图集 39健