
孕34天b超单子,宫内暗区,位于右侧宫角,怎么办
400x400 - 13KB - JPEG

宫角妊娠_图片_互动百科
598x394 - 24KB - GIF

搜索+宫角妊娠
221x268 - 23KB - JPEG

宫角妊娠_图片_互动百科
768x576 - 48KB - JPEG

宫角妊娠有风险,超声介入来解难-搜狐健康
484x282 - 36KB - PNG

这是宫角妊娠吗_怀孕1-3月圈 - 妈妈网
600x800 - 137KB - JPEG

宫角妊娠连医生都放弃了,没想到宝宝坚强地活了下来_健康频道_东方头条
375x499 - 20KB - JPEG

宫角妊娠+-+搜搜百科
274x212 - 19KB - JPEG

左宫角妊娠_好害怕,怎么办,会慢慢正常吗_宝宝树
640x492 - 31KB - JPEG

宫角妊娠,宫角妊娠如何治疗,宫角妊娠症状-妇产科-妇科-寻医问药-xywy.com
300x220 - 33KB - JPEG

【宫角妊娠的原因】【图】宫角妊娠的原因有哪些?其临床表现展示(3)_伊秀亲子|yxlady.com
400x400 - 26KB - JPEG

怎么办?偏向右侧宫角,而且孕酮低,_准备怀孕圈 - 妈妈网
640x480 - 43KB - JPEG
.jpg)
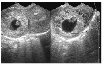
宫角妊娠的超声诊断与鉴别分析--中国期刊网
333x210 - 26KB - JPEG

宫角妊娠,再见…_怀孕妈妈圈
306x408 - 28KB - JPEG

有宫角怀孕的吗?怎么可以睡回来_怀孕妈妈圈
700x525 - 72KB - JPEG
寻医问药网宫角妊娠为您提供详细的宫角妊娠概述,宫角妊娠疾病详情,宫角妊娠病因,宫角妊娠症状,宫角妊娠饮食保健,宫角妊娠治疗方法,宫角妊娠检查与鉴别,宫角妊娠的好医生
宫角妊娠的话,这个也是比较危险的了。孕囊可能会移动到正常位置。现在孕囊的位置不太好,在宫角处,随着子宫的增大,有撑破的危险。建议孕酮值和孕囊的位置,要动态的变化
“宫、商、角、徵、羽”(读音为gōng shāng jué zhǐ yǔ)是我国五声音阶中五个不同音的名称,类似现在简谱中的1、2、3、5、6。即宫等于1(Do),商等于2(Re),角等于3(Mi),徵等于5(Sol),羽等于6(La),亦称作五音。
宫角妊娠是什么?宫角妊娠是指受精卵子子宫残角内着床并生长发育,多发生于初产妇。表现为除正常子宫外,尚可见一较小子宫,宫腔内有时可见内膜线。因宫角部肌组织薄,又是
宫角妊娠 zongxiaonan上传于2011-09-05|暂无评价|0人阅读|0次下载|暂无简介|举报文档 阅读已结束,如果下载本文需要使用0下载券 下载 想免费下载更多文档? 你可能喜欢 您的
“宫、商、角、徵、羽”(读音为ɡōnɡ shānɡ jué zhǐ yǔ)是我国五声音阶中五个不同音的名称,类似现在简谱中的1、2、3、5、6。即宫等于1(Do),商等于2(Re),角等于3(Mi),徵等于5(Sol),羽等于6(La)。但是这“宫商角徵羽”的名称是何时形成的呢?它们又是从哪里来的呢? 最早的“宫商角徵羽”的名称见于距今2600余年的春秋时期,在《管子·地员篇》中,有采用数学运算方法获得“宫、商、角、徵、羽”五个音的科学办法,这就是中国音乐史上著名的“三分损益法”。 那么,“宫商角徵羽”这五个名称又是从哪里来的呢?这就有多种说法了。有的研究者说:它来自古代的天文学,即是从二十八个星宿的名称而来的,如“宫”来自二十八星宿环绕的中心--中宫,其他四音来自不同的星宿名称,这是“天文说”;而有的研究者说:它来自古人驯养的畜禽,说“牛、马、雉、猪、羊”五个字在古代的读音和“宫、商、角、徵、羽”近似,这是“畜禽说”;有的研究者说:它们来源于古代氏族的图腾,这是“图腾说”;而在古代的音乐著作《乐记》中的说法则为:宫为君,商为臣,角为民,徵为事,羽为物。说宫音代表国君,商音代表万民……
病情分析: 你好,根据你的描述是正常的胎芽,做人流对人体肯定有一定的伤害 指导意见: 我建议您如果是第一胎,没有必须做掉的原因还是留着的好,第一胎是先天条件
【摘要】目的探讨宫角妊娠的超声声像图特点。方法回顾分析手术及病理已证实的30例宫角妊娠的超声声像图特点。结果根据超声声像图表现,宫角