病情分析: 你好,根据你的描述,牙齿排列特别不整齐,需要矫正牙齿。 指导意见: 建议最好去医院拍全景牙片或者做口腔ct,了解牙根的情况,然后在口腔科正畸医生的指导下选择合适的矫正方案。一般成年人的矫正时间需要两年左右。
下门牙拥挤比较常见,是一种常见的错合畸形,牙齿的大小过宽或过窄,牙齿呈各种方向错位,个别牙齿反合、开合等深覆盖问题;前牙拥挤不仅影响外观,严重的前牙拥挤可能会造成
你好,根据你的情况的话一般的话建议你去牙科治疗的,,一般的话需要拔牙,换牙。。谢谢。。。望早日康复、、
你好,可以矫正的,不用担心。你的情况建议先去正规医院就诊拍片检查,之后医生会有详细方案告知你的。一般来说矫正需要一年半到两年时间。
病情分析:最好通过你所讲的情况来看,牙齿有用挤的现象是一种比较常见的错颌畸形的表现。指导意见:针对牙齿的错,颌畸形的治疗方法就是做牙齿的矫正治疗,其实
最好的办法就是矫正牙齿,整牙,也就是牙齿矫正,说白了就是把牙齿移动到理想的位置,达到美观的目的。
病情分析:牙齿矫正疗程因牙列不齐的严重程度不同而有差异,一般1.5~2.5年,每3~4周复诊一次。矫正治疗不仅是移动、排齐牙齿,更要使上下颌建立稳定的功能性咬合

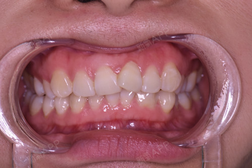
门牙有点突,下牙拥挤导致嘴突,且疑似深覆合,下
570x516 - 48KB - JPEG

23岁大姑娘~牙齿拥挤,门牙不齐,拔了四颗智齿
500x551 - 28KB - JPEG

23岁大姑娘~牙齿拥挤,门牙不齐,拔了四颗智齿
500x571 - 26KB - JPEG

23岁大姑娘~牙齿拥挤,门牙不齐,拔了四颗智齿
500x653 - 37KB - JPEG

牙齿矫正|拥挤不齐,门牙缺失!人家说戴牙套瘦多
640x853 - 57KB - JPEG

门牙拥挤长歪,小时候不整,成年来矫正也不晚-宁
311x179 - 65KB - PNG

23岁大姑娘~牙齿拥挤,门牙不齐,拔了四颗智齿
500x374 - 20KB - JPEG

孩穿。金属结构是facebow用于移动臼齿门牙提
886x1280 - 209KB - JPEG

牙套治疗图2。在治疗时,用牙托或牙齿矫正器观
1280x882 - 225KB - JPEG

哪些小伙伴需要做美牙冠呢1、牙齿变色:如前牙
500x333 - 45KB - JPEG

奶牛上腭门牙
480x320 - 19KB - JPEG

牙齿矫正|拥挤不齐,门牙缺失!人家说戴牙套瘦多
640x853 - 41KB - JPEG
据说宝宝门牙形状,可以透露出宝宝的性格特点
242x334 - 11KB - JPEG

门牙有些拥挤,还有虎牙,就做了隐形矫正~~脱离
322x136 - 15KB - JPEG

门牙已经正很多了,没有那么歪了, 也没有-牙齿
870x861 - 132KB - JPEG
牙列拥挤极大程度的影响美容,通常其矫正方式是根据牙列拥挤程度的不同制定不同的治 您好!根据你所说的情况,建议你去做牙齿矫正。Prussian美颜正畸系统比较适合成人牙齿
两颗大门牙有点爆如果矫正全口的话费用是多少 下排有四颗牙不齐而且有点拥挤,两颗 牙齿矫正包括范围较广,通常是指通过口腔技术手段,修整牙齿排列不齐、牙齿形态异常
下门牙太挤,感觉酸酸的疼 患者信息:男21岁上海病情描述(发病时间、主要症状等):门牙 你这样的情况最好是做牙齿矫正,不过像你说的这样拥挤的情况,有可能是需要拔牙才能