医学影像属于生物影像,并包含影像诊断学、放射学、内视镜、医疗用热影像技术、医学 医学影像技术不能考医师证 依据《中华人民共和国执业医师法》相关规定,学历的有效

2015年实践技能医学影像学考点:左肾上腺嗜铬
585x239 - 38KB - JPEG

医师实践技能医学影像学:肺脓肿(图)_辅导精华
700x369 - 41KB - JPEG

医师实践技能医学影像学:右侧枕部恶性脑膜瘤
600x460 - 48KB - JPEG

医师实践技能医学影像学:左侧放射冠急性期脑
600x721 - 71KB - JPEG

医师实践技能医学影像学:慢纤空肺结核-X线(图
700x330 - 43KB - JPEG

我学的是医学影像技术,不能考医师,如果想考职
493x700 - 40KB - JPEG

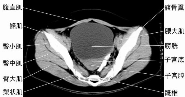
2015年实践技能医学影像学考点:女性盆腔CT断
595x312 - 45KB - JPEG

备考经验-2014年实践技能医师医学影像学:肱骨
384x298 - 24KB - JPEG

医师实践技能医学影像学:原发性支气管肺癌(图
550x600 - 43KB - JPEG

医师实践技能医学影像学:胆囊阳性结石(图)_辅
396x400 - 31KB - JPEG

医师实践技能医学影像学:头颅侧位-X线片(图)_
400x416 - 75KB - JPEG

医学影像技术可以考医生执照不
659x476 - 50KB - JPEG

医师实践技能医学影像学:颈椎斜位与正位(图)_
456x310 - 75KB - JPEG

实践技能医师医学影像学:乳腺癌1-X线-医师实
600x649 - 29KB - JPEG
人工智能医学影像识别技术将成医生新工具-健
500x375 - 114KB - JPEG