
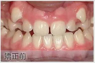
孩子牙齿矫正的误区 多数家长只知道第一条
640x566 - 28KB - JPEG

儿童矫正牙齿为何要先拔牙-口腔疾病研究小组
205x300 - 12KB - JPEG

儿童在几岁做牙齿矫正手术效果最好
400x300 - 109KB - JPEG

牙齿矫正之前,到底该不该先拔牙?
406x304 - 240KB - PNG

牙齿矫正拔牙有什么危害吗_疾病咨询_求医网
950x712 - 83KB - JPEG

儿童牙齿矫正需要拔牙吗?
380x251 - 12KB - JPEG

孩子正畸拔牙没那么可怕
700x350 - 21KB - JPEG

青春期_奥一网iTAG
377x252 - 11KB - JPEG

儿童牙齿矫正不必非等换完牙!
639x349 - 36KB - JPEG

儿童牙齿矫正需要拔牙吗?
770x498 - 32KB - JPEG
正畸(牙齿矫正)为什么要拔牙?用病例说话(之二
800x533 - 49KB - JPEG

儿童牙齿矫正需要拔牙吗?
380x259 - 15KB - JPEG

儿童牙齿矫正需要拔牙吗?
380x256 - 9KB - JPEG

3种儿童牙齿畸形必须及早矫正-爱福窝装修知识
3456x2276 - 982KB - JPEG

南宁儿童牙齿矫正的四大误区
338x220 - 11KB - JPEG
你好,儿童矫正牙齿一般不会拔牙,是用一个矫正器来矫正牙齿,这个大概是在十三岁左右开始,恒牙全部换完,
儿童矫正牙齿需要拔牙么?我家女儿11岁,牙齿不齐拥挤想给她矫正,当地医院建议拔4颗牙,有这必要吗
我小孩15岁了,现在牙齿要矫正,需要拔牙,会不会影响牙齿的功能和健康?擅长:擅长儿童口腔疾病的综合治疗,
另一位主张不急着矫正等乳牙掉后再做但要拔牙四颗把我儿子吓得半死想得到帮助:儿童牙齿矫正前需要拔牙吗?
建议:一般需要等乳牙换了之后再做矫正的~小孩的牙齿要经过分析才能晓得是否拔牙~如果他的牙槽够宽~就不用
健康咨询描述:孩子14岁矫正牙齿,你好,根据你描述的情况考虑孩子14岁矫正牙齿。医生建议拔掉四颗牙齿。