上行沟通。上行沟通是指下级的意见向上级反映,即自下而上的沟通。下行沟通。下行沟通是指领导者对员工进行
下行沟通是指资讯的流动是由组织层次的较高处流向较低处,通常下行沟通的目的是为了控制、指示、激励及评估
下行沟通(Downward Communication)是指资讯的流动是由组织层次的较高处流向较低处,通常下行沟通的目的是
在线互动式文档分享平台,在这里,您可以和千万网友分享自己手中的文档,全文阅读其他用户的文档,同时,也
下行沟通是指按行政组织层级节制体系自上而下的信息传递。它的主要内容包括:对下级明确行政目标;下面学习
管理的核心是沟通,沟通就意味着合作,高效的沟通可以创造良好的工作业绩!下行沟通,是作为上级与下级进行
下行沟通英文翻译:downward communication…,点击查查权威在线词典详细解释下行沟通英文怎么说,怎么用
在组织中,当讯息下行沟通经过许多组织层级时,许多资讯会遗失,最后接收者真正能收到的只是一小部分而已。

雷军:在经济下行压力下 应对企业进行减税(图)
550x367 - 44KB - JPEG

工行邢台冶金支行私人银行客户沟通交流会成功
550x360 - 106KB - JPEG

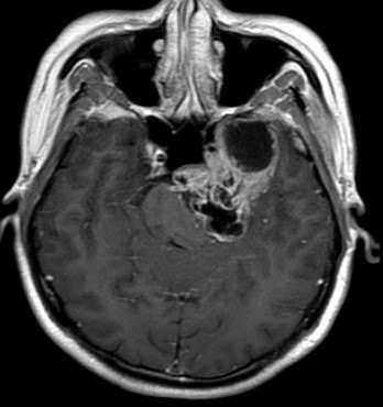
巨大中后颅窝沟通哑铃型三叉神经鞘瘤的手术治
348x370 - 20KB - JPEG

巨大中后颅窝沟通哑铃型三叉神经鞘瘤的手术治
354x351 - 23KB - JPEG

中庚讲堂走进上海城开中心 探索经济下行期企
549x308 - 52KB - JPEG

唱衰中美关系干扰,习奥会避免中美关系下行
560x360 - 20KB - JPEG

创新沟通未来 大唐电信集团亮相上海mwc
550x309 - 29KB - JPEG

准备好应对英国脱欧冲击 全球经济仍有下行风
400x266 - 22KB - JPEG
之十四:异国他乡 语言不通只能靠手势与患者沟通
550x734 - 30KB - JPEG

第七章 沟通协调法【2】
286x299 - 13KB - JPEG

来百度传课相约校园好课 学会职场沟通让工作
554x304 - 22KB - JPEG

IMF总裁对李克强说:中国新出炉经济数据是一个
800x523 - 99KB - JPEG

伏尔加河
300x200 - 15KB - JPEG

7月27日疯抢狂降900元双4G 酷比魔方i7
500x602 - 71KB - JPEG

西安德高望重的专家双膝跪地 只为给患者更好
1050x1400 - 127KB - JPEG