胆管结石手术费用与患者病情及治疗方式有关,具体如下:1、手术方式:手术腔镜手术价位较高,若需附加胆肠
胆结石治疗费用,胆结石手术费用,胆结石手术费用多少,胆结石】胆结石,做手术大概需要多少钱?但价格不
治疗胆管结石需要多少钱?胆管结石手术费用一共要多少?很多患者对于这个问题都很关心,名医主刀专家表示:
胆结石一般都做腹腔镜微创手术,总费用10000-15000左右,医院级别、地区不同,肝外胆管或肝内胆管结石之
我患有胆管扩张症以及肝内胆管结石,在2010年12月做过胆管囊肿切除手术,并取出部分石头,手术时大夫说在
健康咨询描述:因为是哥哥得了胆现在胆结石的治疗方法越来越多,价钱也不同,目前最好的是微创保胆取石手术

【结石性胆囊炎】【图】揭秘结石性胆囊炎症状
400x400 - 40KB - JPEG

南京医生巧手操作胆道镜不开刀治疗胆管结石
550x379 - 35KB - JPEG

肝内胆管结石的手术治疗
600x337 - 41KB - JPEG

ERCP技术-不开刀,取胆管结石(图)
350x288 - 21KB - JPEG

102岁李奶奶二次手术取胆管结石·杭州日报
400x237 - 58KB - JPEG

男子患胆管结石 手术时上千颗结石泥浆般涌出
300x225 - 17KB - JPEG

成都社区医院首次实现三甲服务
450x300 - 43KB - JPEG

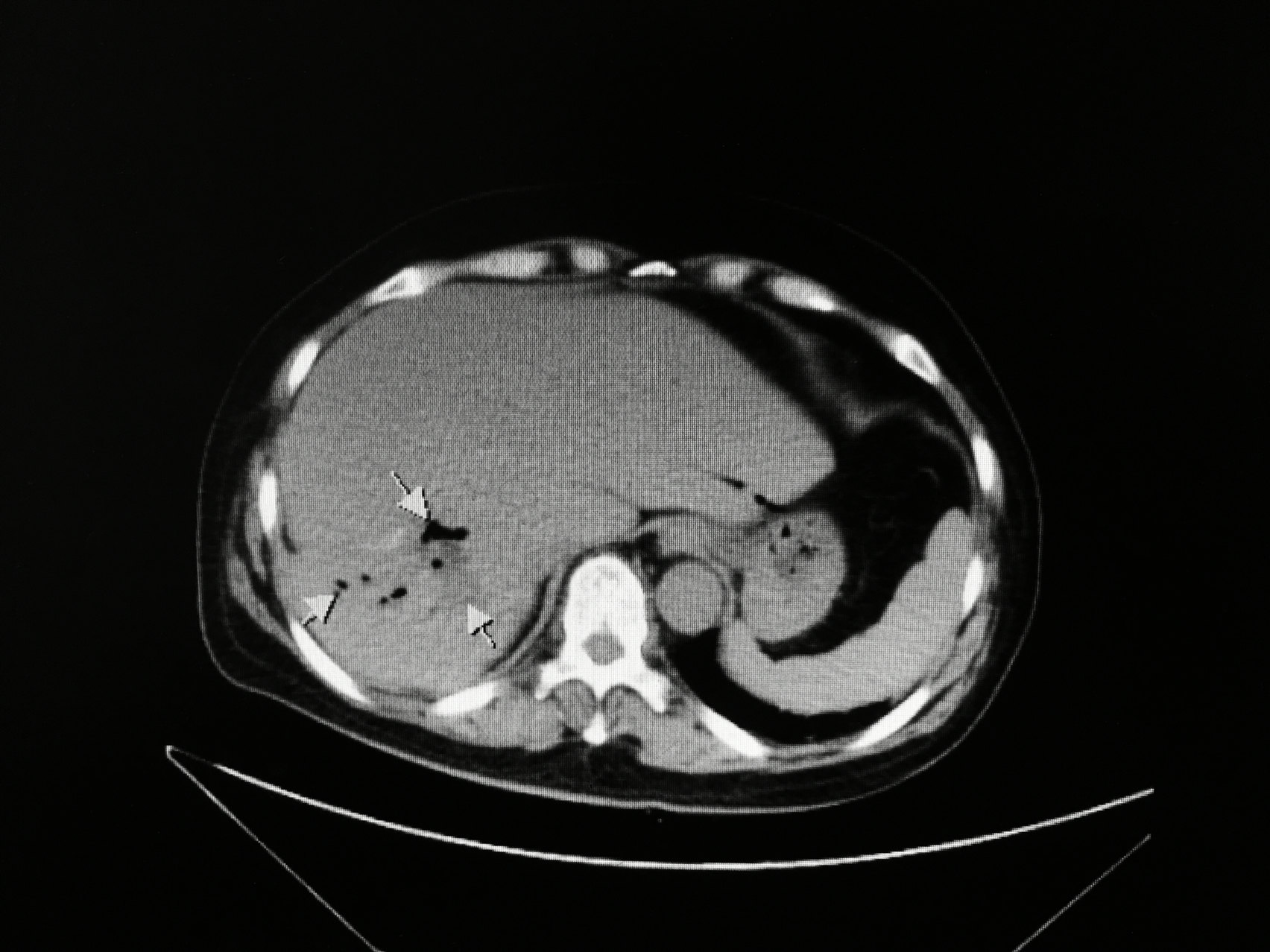
肝内胆管结石的是是非非!
1704x1278 - 246KB - JPEG

十二指肠镜微创技术一次根除胆道结石
400x300 - 27KB - JPEG

一例复杂肝内外胆管结石的开腹手术和微创取石
600x453 - 30KB - JPEG

肝内胆管结石怎么治疗 怎样预防肝内胆管结石
400x294 - 39KB - JPEG

我市首例腹腔镜下左半肝切除手术成功
400x267 - 67KB - JPEG

医生为七旬镜面人 做双镜联合微创胆道手术
400x266 - 27KB - JPEG

内镜微创治疗胆总管结石_胆管结石_胆管结石
410x274 - 23KB - JPEG

胆管结石
200x172 - 9KB - JPEG