设计理念:时尚新定义:时尚是一种美和象征,时尚是一种精华传承和艺术演绎!从唐代的唐装、清朝的旗袍到少数民族特色服饰,为了把时尚打造一种经典艺术的象征,缤奇叶童装继

【图】童装女童秋装搭配 2015秋季新款让孩子
333x500 - 41KB - JPEG

奇叶蕨
1073x616 - 182KB - JPEG

奇叶牌按摩洁脸器 _ 奇叶牌按摩洁脸器价格报
300x300 - 6KB - JPEG

奇叶牌脸部按摩器 _ 奇叶牌脸部按摩器价格报
300x300 - 8KB - JPEG

奇叶
222x191 - 8KB - JPEG

6岁女孩结合魔术表演变脸(组图)_社会万象
300x260 - 18KB - JPEG

奇叶
602x282 - 16KB - JPEG

巫山翡翠凉粉: 色如翡翠,消暑清热
580x406 - 510KB - PNG

北京奇叶汇博科技有限公司_360百科
805x354 - 82KB - PNG

巫山翡翠面条:色如翡翠,爽滑可口
578x340 - 241KB - JPEG

教你如何看叶识别名贵兰花,再也不怕买到假兰
640x411 - 32KB - JPEG

6岁女娃会变脸
300x354 - 89KB - JPEG

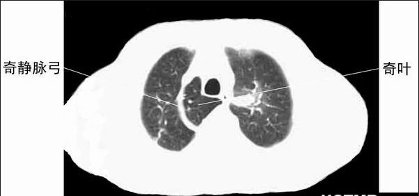
深圳小伙右肺突然不见 左肺差点也没了_报料_
427x422 - 212KB - PNG

【铝箔胶带】价格_图片_厂家-铝箔胶带产品大
200x150 - 2KB - JPEG

缤奇叶少年童装
300x249 - 14KB - JPEG