垂体泌乳素瘤的治疗方法有哪些,垂体泌乳素瘤吃什么药?有问必答网垂体泌乳素瘤疾病查询频道为您解答垂体泌乳素瘤的治疗,垂体泌乳素瘤怎么办的知识,泌乳腺瘤的治疗取决

泌乳素瘤
225x300 - 12KB - JPEG

月经不调+乳头溢乳 警惕垂体泌乳素瘤
600x400 - 61KB - JPEG

垂体泌乳素瘤 它对患者的影响有哪些(2)
400x400 - 9KB - JPEG

【图】分泌_泌乳素分泌型垂体瘤_胃酸分泌过
524x347 - 93KB - JPEG

全切一例高泌乳素垂体瘤,内分泌治愈! - 好大夫
1280x718 - 126KB - JPEG

泌乳素分泌型垂体瘤_胃酸分泌过多怎么办_分
320x454 - 75KB - JPEG

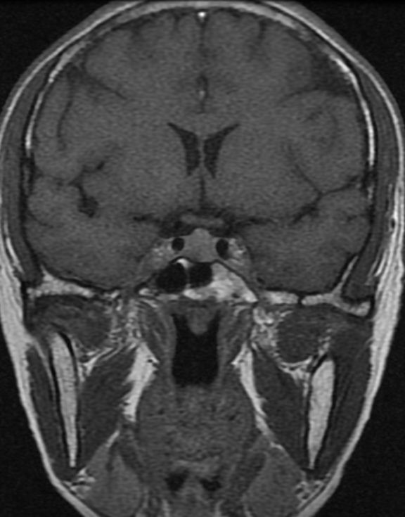
经鼻微创手术治疗泌乳素型垂体瘤
844x1125 - 166KB - JPEG

泌乳素瘤
300x200 - 30KB - GIF

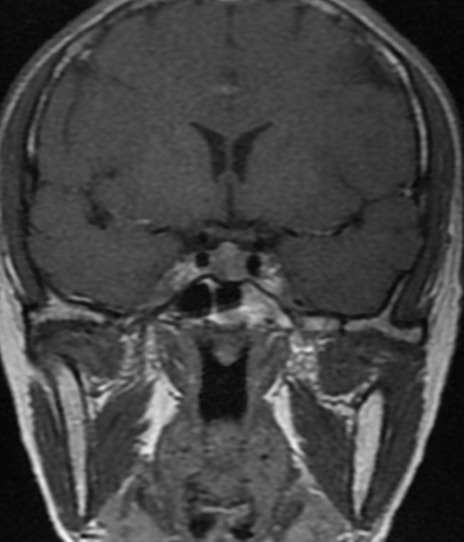
经鼻微创手术治疗泌乳素型垂体瘤
576x735 - 53KB - JPEG

女性患者如何治疗泌乳素型垂体瘤?_好大夫在
502x610 - 79KB - JPEG

门诊实录:泌乳素型垂体瘤患者的治疗方法选择
587x372 - 321KB - PNG

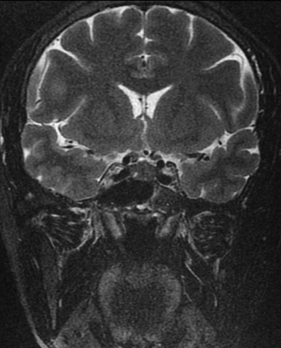
经鼻微创手术治疗泌乳素型垂体瘤
656x767 - 48KB - JPEG

经鼻微创手术治疗泌乳素型垂体瘤
572x707 - 58KB - JPEG

门诊实录:泌乳素型垂体瘤患者的治疗方法选择
519x343 - 262KB - PNG

女性患者如何治疗泌乳素型垂体瘤?
523x610 - 85KB - JPEG