我的一条养了5-6年金苔鼠,还没到10CM,感觉越大的越胆小,我在缸边的时候它基本是都是躲起来的。除了自己的那块领地,不会主动攻击别的缸友。倒是那两条养了几年的虎皮

金苔鼠
960x540 - 106KB - JPEG

巴西热带雨林的巨型森蚺到底能长多大?
597x375 - 83KB - JPEG

李敏镐金秀贤来华:欧巴的排场到底有多大?(相
500x703 - 50KB - JPEG

皮皮虾到底能长到多大呢?说出来你都不敢置信
515x306 - 29KB - JPEG

皮皮虾究竟能长多大?说出来你都不信!
640x343 - 36KB - JPEG

柳岩深V露事业线嘟金鱼嘴 柳岩的胸到底有多大
500x334 - 18KB - JPEG

皮皮虾究竟能长多大?说出来你都不信!
639x362 - 319KB - PNG

皮皮虾到底能长到多大呢?说出来你都不敢置信
412x269 - 15KB - JPEG

皮皮虾到底能长到多大呢?说出来你都不敢置信
387x245 - 13KB - JPEG

巴西热带雨林的巨型森蚺到底能长多大?
320x180 - 24KB - JPEG

观赏金鱼能长多大? 英男孩钓上5磅大金鱼(图)
468x545 - 49KB - JPEG

龟宝宝能长多大?
300x200 - 71KB - JPEG

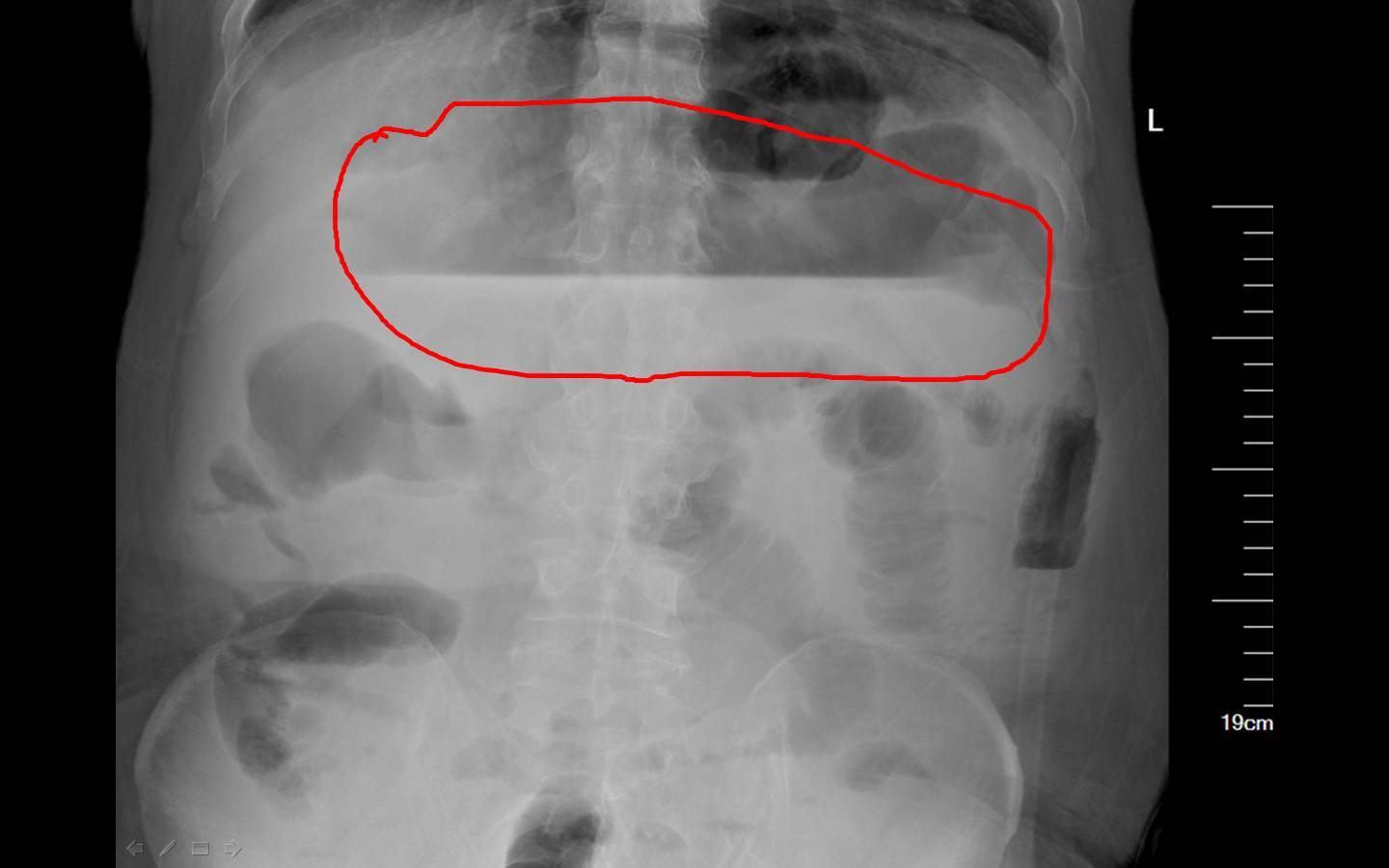
膜假黏液瘤病例(15)--阑尾囊肿到底能长多大?
1440x900 - 53KB - JPEG

一条鱼能长多大?--今晨6点电子版
300x224 - 37KB - JPEG

媒体:明星出轨 背后牵扯的利益究竟有多大?
1280x800 - 185KB - JPEG