在一段时间内突眼会有好转并逐渐恢复正常。在日常生活中要格外注意用眼卫生,平时出门时戴墨镜,睡觉时戴眼罩,注意休息。 以上是对“甲亢好了突眼会好吗?”这个问题的建

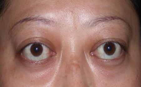
甲亢好了突眼会好吗 要把握住甲亢突眼的最佳
550x350 - 76KB - JPEG

甲亢好了突眼会好吗 要把握住甲亢突眼的最佳
269x275 - 40KB - JPEG

甲亢好了突眼会好吗?
800x603 - 639KB - PNG

甲亢好了突眼会好吗 要把握住甲亢突眼的最佳
550x350 - 128KB - JPEG

甲亢好了突眼会好吗
400x400 - 43KB - JPEG

甲亢好了突眼会好吗,甲亢好了眼突能恢复吗,甲
550x350 - 152KB - JPEG

甲亢患者应谨慎进食乳制品
400x300 - 12KB - JPEG

得了甲亢突眼怎么治疗
329x220 - 9KB - JPEG

甲亢好了突眼会好吗?千万别错过甲亢突眼的最
640x439 - 46KB - JPEG

甲亢性突眼的防治办法_甲亢
451x280 - 74KB - JPEG

如何有效缓解甲亢突眼的困扰_甲亢
451x280 - 34KB - JPEG

生活中如何预防甲亢突眼的情况出现
400x300 - 29KB - JPEG

甲亢为什么会导致突眼
388x310 - 16KB - JPEG

患了甲亢突眼怎么办(2)
420x260 - 16KB - JPEG

甲亢性突眼的症状与病因_甲亢
451x280 - 28KB - JPEG