4月胃肠感冒后一直消化不良体重下降了近十斤恶心没食欲厌食吃了盐酸依托必利最近几天又开始反酸依旧消化不良轻微便秘应该怎么用药?近期精神压力也比较大 2015-06-14

食欲减退、消化不良、常腹痛、体重下降快当心
350x231 - 50KB - JPEG

食欲减退、消化不良、常腹痛、体重下降快当心
350x256 - 85KB - JPEG
3岁宝宝体重忽然下降还消化不良,医生的检查让
640x372 - 26KB - JPEG
3岁宝宝体重忽然下降还消化不良,医生的检查让
640x320 - 12KB - JPEG
3岁宝宝体重忽然下降还消化不良,医生的检查让
640x373 - 26KB - JPEG

食欲减退、消化不良、常腹痛、体重下降快当心
350x233 - 86KB - JPEG

食欲减退、消化不良、常腹痛、体重下降快当心
350x231 - 75KB - JPEG

孩子消化不良,肠胃功能下降,可以这样食疗_八
300x364 - 51KB - JPEG

五个月的宝宝体重不增食欲下降是怎么回事?|宝
550x309 - 16KB - JPEG

胃酸反酸水消化不良体重下降请问医生我的这个
120x180 - 7KB - JPEG

【婴儿消化不良的表现 】_消化不良_宝宝_怎么
500x333 - 23KB - JPEG
孩子消化不良,肠胃功能下降,可以这样食疗
300x364 - 10KB - JPEG

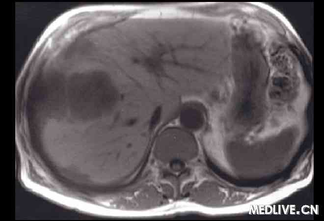
例_读片会_男,57岁,腹痛,消化不良,体重下降。
660x450 - 15KB - JPEG

五个月的宝宝体重不增食欲下降是怎么回事?
700x350 - 20KB - JPEG

宝宝消化不良的症状,婴儿消化不良有什么症状
500x313 - 14KB - JPEG