问答题简答题何谓边缘叶和边缘系统,其主要功能如何? 参考答案边缘叶由隔区、扣带回、海马旁回、海马、齿状回、岛叶前部和颞极构成。边缘系统由边缘叶及其皮质下结构

边缘叶与边缘系统Limbic+lobe+and+limbic+sy
530x396 - 51KB - GIF

化繁为简、里外开「弓」认识边缘系统_边缘系
421x412 - 232KB - PNG

11-2 第三章 第三节(一)脑
479x389 - 82KB - JPEG

茶花边缘叶发黄干枯?-茶花为什么叶子发黄
608x800 - 153KB - JPEG

化繁为简、里外开「弓」认识边缘系统_边缘系
835x525 - 114KB - PNG

边缘叶脑炎等
300x300 - 12KB - JPEG

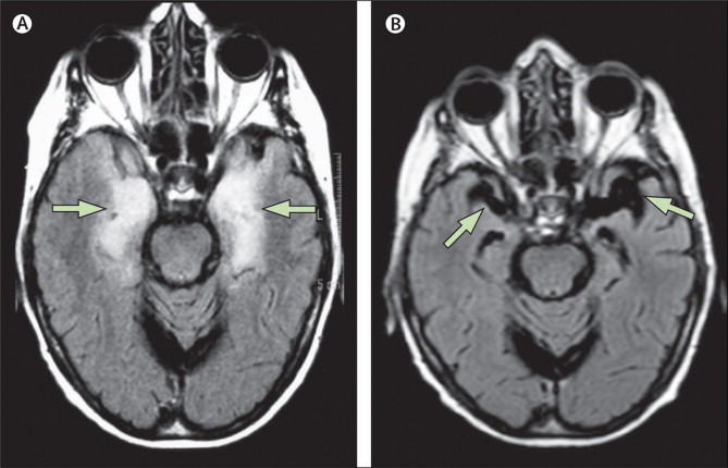
经典病例_病例报告:女性患者边缘叶脑炎致非典
669x430 - 67KB - JPEG

边缘叶
200x130 - 7KB - JPEG

可不可以不勇敢 - 边缘叶
600x655 - 105KB - JPEG

剃刀边缘叶隼真实身份是什么 叶隼的隼怎么读
600x348 - 31KB - JPEG

剃刀边缘叶隼扮演者是谁结局是什么揭晓 白菜
600x380 - 54KB - JPEG

特别是大脑边缘叶
300x257 - 15KB - JPEG

工作日志--新学年的班级管理 - 边缘叶 - 漏雨新
440x294 - 33KB - PNG
边缘叶脑炎(Limbic encephalitis,LE)
960x720 - 67KB - JPEG

戚晓昆:重视边缘叶脑炎的诊断与鉴别_边缘叶脑
419x304 - 221KB - PNG