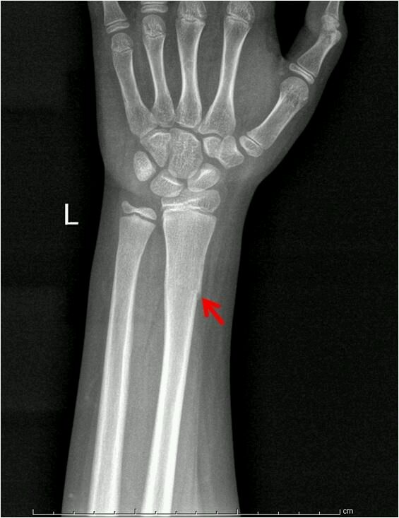
★那么,有人会问,“青枝骨折严重吗?会自己恢复吗?” 首先,这个青枝骨折是一种稳定性骨折,不算很严重,不易产生较严重并发症。但是,如果不管不问,那么也是不可以的,毕竟是

【健康】青枝骨折会自己恢复吗?
565x733 - 51KB - JPEG

【健康】青枝骨折会自己恢复吗?
188x447 - 10KB - JPEG

6岁女孩,外伤致伸直型肱骨髁上骨折,手法复位
367x239 - 13KB - JPEG

【健康】青枝骨折会自己恢复吗?
221x278 - 11KB - JPEG

青枝骨折20天治愈
670x484 - 51KB - JPEG

青枝骨折++b.右尺骨骨折
276x245 - 8KB - JPEG

青枝骨折
802x600 - 23KB - JPEG

青枝骨折_用户2155700612
238x560 - 23KB - JPEG

青枝骨折_用户2155700612
528x640 - 30KB - JPEG

【小儿青枝骨折】【图】小儿青枝骨折怎么办呢
533x400 - 29KB - JPEG

【小儿青枝骨折】【图】小儿青枝骨折怎么办呢
533x400 - 21KB - JPEG

10岁儿童胫骨青枝骨折,用药20天痊愈
670x463 - 43KB - JPEG

青枝骨折_用户2155700612
640x481 - 46KB - JPEG

【小儿青枝骨折】【图】小儿青枝骨折怎么办呢
533x400 - 37KB - JPEG

右耾骨外髁青枝骨折可能
500x375 - 16KB - JPEG