我经常反复的口腔,舌头发炎是怎么回事?补充问题1:(2010-10-03 14:57:16)我是胃炎患者,已经有三四年了 首页传染病科肝病科肝炎我经常舌头溃疡,这是怎么回事 我经常舌头

【舌头溃疡怎么好得快】舌头溃疡怎么办最快_舌头溃疡最快的治疗方法_亲亲宝贝网
450x337 - 27KB - JPEG

马牙、溃疡、鹅口疮、地图舌等宝宝7大口腔问题大解析!
406x237 - 12KB - JPEG

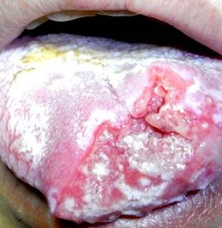
划重点:这些症状别以为是溃疡!舌癌已经上身了
750x590 - 175KB - JPEG

吃饭咬到舌头是馋肉了?当心是身体的问题!_凤凰资讯
494x297 - 180KB - PNG

齿列不整竟会致命!女子常咬到舌头 年纪轻轻罹舌癌 , 疾病预防 , PChome Online 健康乐活
320x329 - 93KB - JPEG

舌头溃疡+-+搜狗百科
299x235 - 94KB - PNG

舌头溃疡久治不愈当心舌癌
415x280 - 13KB - JPEG

舌头上老长水泡怎么回事?
480x640 - 37KB - JPEG

对口腔溃疡的治疗方法虽然很多
400x300 - 86KB - JPEG

中医解读春季如何护肝清火_养生妙方 - 美食杰
400x304 - 50KB - JPEG

舌头溃疡
300x266 - 10KB - JPEG

【舌头溃疡怎么好得快】舌头溃疡怎么办最快_
450x280 - 19KB - JPEG

【小孩舌头溃疡图片】【图】小孩舌头溃疡图片
400x400 - 32KB - JPEG

舌头溃疡严重吗 得了舌头溃疡怎么办
400x294 - 13KB - JPEG

舌头溃疡会带给我们哪些意想不到的危害?打印
500x344 - 212KB - PNG