山东治道自动化公司主要经营:工业相机,高速相机,工业相机镜头,CCD机器视觉系统,CCD视觉检测,CCD工业相机等工业产品,山东治道您身边的CCD机器视觉专家。

视觉神经系统疾病定位诊断学 \/金崇华-图书杂志
450x703 - 40KB - JPEG
呼吸计量器,塑料,视觉,仿生学, 工业设计,产品设
658x465 - 51KB - PNG
置显微镜、体视显微镜、荧光显微镜、CCD、
1238x1623 - 734KB - PNG

UVW平台|CCD对位平台|视觉对位平台_深圳宝
300x300 - 13KB - JPEG
嵌入式系统在机器人视觉中的应用_工业自动化
351x420 - 67KB - GIF

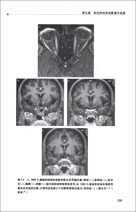
视觉神经系统疾病定位诊断学图片
800x800 - 25KB - JPEG
联想集团视觉识别系统指导手册(每天学点15.0
690x886 - 33KB - JPEG
联想集团视觉识别系统指导手册(每天学点15.0
690x937 - 59KB - JPEG
联想集团视觉识别系统指导手册(每天学点15.0
690x937 - 41KB - JPEG
联想集团视觉识别系统指导手册(每天学点15.0
690x937 - 52KB - JPEG

基于3D视觉和机器学习,阿丘科技从质检和分拣
1200x720 - 136KB - JPEG

CIE最新出台中间视觉光度学推荐系统
448x260 - 63KB - PNG

【杭州新视觉化妆摄影学校-摄影师首席班】- 杭
620x380 - 109KB - JPEG

如何为机器视觉系统选择合适的工业相机-深圳
540x401 - 44KB - JPEG

基于3D视觉和机器学习 提高工业机器人环境感
497x369 - 450KB - PNG