
【舌侧保持器】厂家,价格,图片
300x300 - 11KB - JPEG

保持器
300x225 - 7KB - JPEG

舌侧保持器-舌侧扣
1000x666 - 51KB - JPEG

谁说牙齿矫正一定要变大钢牙? 说no!
600x336 - 48KB - JPEG

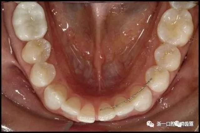
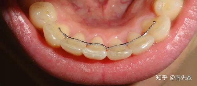
舌侧固定保持器(麻花丝)
580x514 - 18KB - JPEG

舌侧固定保持器操作过程及步骤
640x457 - 25KB - JPEG

支柱,防备设施,医疗夹板,医用支柱
1200x800 - 420KB - JPEG

正畸文献阅读--固定舌侧保持器作用下意外的牙
435x290 - 18KB - JPEG

#医生说牙齿#很多患者朋友以为牙齿矫正是一
480x192 - 19KB - JPEG

舌侧保持器【多图】_价格_图片- 天猫精选
220x220 - 33KB - JPEG

牙齿矫正后居然还会复发?
640x281 - 50KB - JPEG

牙齿矫正保持器
198x251 - 79KB - PNG

颌骨,人的颌骨,颌面,上颌骨
1200x1200 - 690KB - JPEG

深圳牙齿矫正保持器科普
277x266 - 84KB - PNG

口腔正畸牙科材料 保持片 金属保持器 牙科正畸
210x210 - 20KB - JPEG