
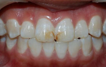
氟斑牙怎么美白,氟斑牙怎么去除-乐哈健康网
500x350 - 16KB - JPEG

氟斑牙怎么美白,氟斑牙怎么去除-乐哈健康网
500x350 - 16KB - JPEG

氟斑牙怎么美白,氟斑牙怎么去除-乐哈健康网
500x350 - 14KB - JPEG

氟斑牙怎么美白,氟斑牙怎么去除-乐哈健康网
500x350 - 20KB - JPEG
![氟斑牙怎么美白?氟斑牙怎么去除?[图]](https://www.uooyoo.com/img2016/10/27/2016102737287985.jpg)
氟斑牙怎么美白?氟斑牙怎么去除?[图]
605x375 - 133KB - JPEG

氟斑牙要如何处理才能消除?
399x333 - 73KB - JPEG

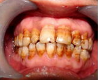
怎样去除氟斑牙
755x519 - 426KB - PNG

氟斑牙要如何处理才能消除?
500x491 - 33KB - JPEG

氟斑牙要如何处理才能消除?
357x205 - 40KB - JPEG

怎样可以去除氟斑牙?_广州德伦口腔
343x218 - 86KB - PNG
如何去除氟斑牙--去除氟斑牙用什么方法?[供应
102x200 - 2KB - JPEG

怎样去除氟斑牙
321x262 - 103KB - PNG

【氟斑牙】氟斑牙的形成_氟斑牙怎么去除_亲
265x195 - 24KB - JPEG

小苏打能去除氟斑牙吗
1000x564 - 249KB - JPEG

[欧诺洁快速牙齿美白牙贴黄牙速效去除牙渍氟
310x310 - 103KB - JPEG