
牙医日记 科普:牙齿折断了怎么办
780x478 - 62KB - JPEG

亿大小君告诉你:牙齿断裂了肿么办?_健康_南阳
665x466 - 307KB - PNG

牙医日记 科普:牙齿折断了怎么办-我也来侃侃-
780x518 - 54KB - JPEG

牙医日记 科普:牙齿折断了怎么办
780x518 - 68KB - JPEG

牙医日记 科普:牙齿折断了怎么办
780x518 - 60KB - JPEG

千万不要用牙齿做哪些事?
564x432 - 19KB - JPEG

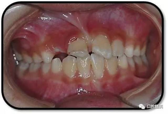
她是牙科专家,侄女的牙折断,最终的选择竟然是
960x720 - 101KB - JPEG

上前牙折断后即刻种植
480x318 - 203KB - PNG

四种方法应对前牙折断
640x320 - 25KB - JPEG

她是牙科专家,侄女的牙折断,最终的选择竟然是
960x720 - 100KB - JPEG

上前牙折断后即刻种植
480x318 - 199KB - PNG

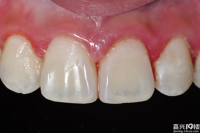
牙齿外伤折断全瓷牙美容修复病例
500x312 - 57KB - JPEG

牙齿折断,粘接修复
620x424 - 331KB - PNG

8岁儿童前牙外伤冠折断冠再接
509x345 - 20KB - JPEG

东阳17岁小伙打球折断门牙,医生这样做.牙齿竟
500x261 - 15KB - JPEG
最佳答案: 所有的女性求美者都会希望自己的各个方面都是非常完美的,但是在日常的生活当中不少的人因为一些原因导致自己的牙齿出现折断等问题,于是就会造成容貌的不美观,而这个时
简介:牙折是指牙齿受到急剧的机械外力作用造成的牙齿折断。多见于上前牙,常伴有牙髓和牙周组织的损伤,严重者
牙齿折断了怎么办?简述“牙折”的几种处理方式 百度—百家号|2018-06-29 |举报 百度—百家号百家号是全球最大中文搜索引擎百度为内容创.|总评分0.0|文档量0|浏览量0 VIP
最佳答案: 病情分析: 你好,不知道你外伤后的牙齿是怎么样折断的,一般来说牙折有三种:冠折,根折,冠根折. 根据不同的情况分别采取治疗.这个情况要由医生根据你的牙齿折断情况来决定 指导意见: 你现在正在接受治疗,我不太明白你的不换牙是什么意思,你的意思是做假牙吗?如果说你的牙齿治疗的比较好,不做假牙,如果是前面的牙齿会影响你的美观,在后面的大牙会影响你的咀嚼功能.
牙齿折断分为以下几种类型: 1、牙冠折断:牙冠暴露在牙槽骨之外,依据折断的层面不同又分为浅层牙釉质折断、深层牙釉质折断、冠折露髓; 2、牙根折断:牙根长在牙槽骨内,外
牙齿折断 11月13日两牙折断,拍片牙根目前是好的,当时只做断面封闭,目前没有牙齿疼痛,只是遇冷热有酸痛感,在没有牙痛的情况下,一般观察多久可以补牙过敏史:无 方林仙大夫
【主诉】 :上前牙外伤一周余 【现病史】 :患儿女10岁一周前因跌倒致上前牙折断已做内 先天性的牙齿缺失异常是口腔医师在临床工作中经常遇到的问题之一。最常见的是个别
牙折是指牙齿受到急剧的机械外力作用造成的牙齿折断。多见于上前牙,常伴有牙髓和牙周组织的损伤,严重者常伴有牙槽突骨折。临床上常根据其折断的位置而分为:冠折、根折