.png)
低分子量透明质酸经由MyD88\/TLR4 非依赖
453x418 - 199KB - PNG

豆蔻明对TLR4\/MyD88\/NF-κB\/iNOS信号
919x1441 - 201KB - JPEG

MYD88
842x900 - 20KB - PNG

Bellicum成功开发组成型MyD88和CD40共
1080x658 - 76KB - JPEG

Bellicum成功开发组成型MyD88和CD40共
1080x753 - 117KB - JPEG

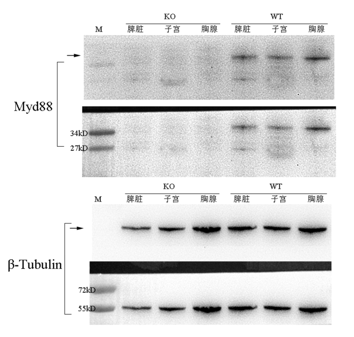
B6-Myd88-KO
696x664 - 269KB - PNG

TRAF6和Pellino E3连接酶在MyD88和
1080x613 - 57KB - JPEG

TRAF6和Pellino E3连接酶在MyD88和
895x560 - 77KB - JPEG

豆蔻明对TLR4\/MyD88\/NF-κB\/iNOS信号
917x726 - 79KB - JPEG

MYD88
758x1000 - 95KB - JPEG
MyD88 抗体
400x400 - 13KB - JPEG
MyD88 抗体
400x400 - 11KB - JPEG

MYD88
500x332 - 28KB - PNG

MyD88 Antibody (PA5-19918)
1043x920 - 42KB - JPEG

Wes,MyD88, TLR4 解释绿茶护肝机理
314x389 - 34KB - JPEG