图表总结:那些年我们查过的阳性锥体束征
1000x538 - 210KB - PNG
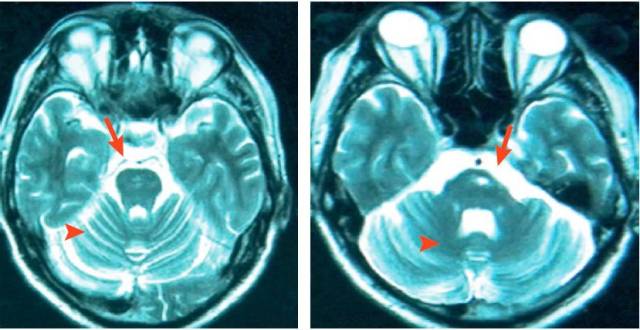
这些症状或提示颅内脊索瘤,治疗可借助
450x300 - 21KB - JPEG
图表总结:那些年我们查过的阳性锥体束征
1000x513 - 175KB - PNG
图表总结:那些年我们查过的阳性锥体束征
1000x368 - 149KB - PNG
图表总结:那些年我们查过的阳性锥体束征
1000x443 - 173KB - PNG
图表总结:那些年我们查过的阳性锥体束征
1000x429 - 185KB - PNG

【健康科普】经常性口腔溃疡,小心得了
640x330 - 38KB - JPEG

嗅觉逐渐减退或失灵需警惕这个病
500x659 - 69KB - JPEG
图表总结:那些年我们查过的阳性锥体束征
1000x508 - 258KB - PNG

壹生资讯-脑静脉窦血栓形成的影像学特征
932x501 - 1827KB - PNG
那些容易与脊髓肿瘤混淆的疾病 - 今日头条(
379x220 - 16KB - JPEG
图表总结:那些年我们查过的阳性锥体束征
1000x370 - 146KB - PNG

小脑性共济失调的临床表现
608x313 - 55KB - JPEG

障碍疾病有关的MRI动物征丨实战读片
640x329 - 25KB - JPEG

下列哪项属锥体束征?()
700x272 - 44KB - JPEG