桡骨怎么读

桡骨怎么读相关图片

手外科的手术操作解读:60-17 腕关节镜检查
416x307 - 15KB - JPEG

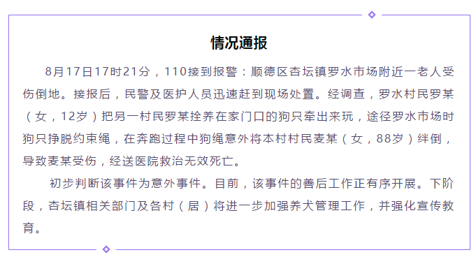
被狗绳绊倒身亡老人亲友发声:不会过于
681x368 - 58KB - PNG

淘气的桡骨小头
329x240 - 153KB - PNG

骨科学》_第五节尺桡骨干骨折_中医世家
331x368 - 15KB - JPEG

儿童尺桡骨骨折- 骨科专业讨论版
744x992 - 83KB - JPEG

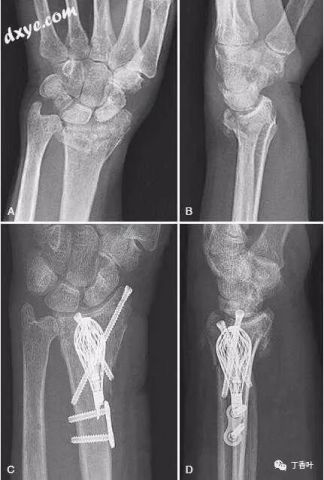
特制螺纹针固定桡骨远端骨折
354x239 - 10KB - JPEG

手桡骨骨折图片 (第1页)
500x666 - 49KB - JPEG

桡骨
270x274 - 15KB - JPEG

右尺桡骨远端骨折图片 (第1页)
500x375 - 29KB - JPEG

桡骨头骨折【多图】_39医疗图集-39健康网
272x240 - 85KB - PNG

儿童右侧尺桡骨中段骨折-医联
680x484 - 172KB - PNG

影像表明:右桡骨远端见粉碎性骨折
500x375 - 11KB - JPEG

尺桡骨干双骨折
500x565 - 32KB - JPEG

手外科的手术操作解读:60-15 桡骨远端骨折
324x480 - 24KB - JPEG

尺桡骨骨折-医联
680x907 - 55KB - JPEG

桡骨怎么读相关问答

暂无相关问答

大家都在看

相关专题