基底核_基底核的功能

基底核相关图片

基底核
270x203 - 8KB - JPEG

最全神经系统及神经疾病解剖图(收藏版)
640x480 - 32KB - JPEG

康复治疗师必备--超全神经系统解剖图!(
745x505 - 31KB - JPEG

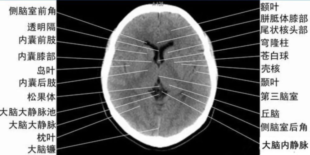
简明又详细的头部CT读片详解,收藏!
1000x502 - 57KB - JPEG

真问真答:为什么游泳学会了不会忘|大象公会
600x317 - 40KB - JPEG

基底节包括丘脑吗
400x240 - 114KB - JPEG

中秋月圆来为你的人生建模,三个抓手是
380x336 - 26KB - JPEG

脑深部电刺激 Meynert 基底核(DBS-NBM)
640x341 - 44KB - JPEG

基底核
494x408 - 101KB - JPEG

简明又详细的头部CT读片详解,收藏!
396x304 - 25KB - JPEG

全屏显示课程章节
289x296 - 28KB - JPEG

基底节区最常见的脑梗死责任动脉
640x493 - 31KB - JPEG

大脑基底核包括哪几四部分?
600x494 - 341KB - PNG

基底核包括
600x450 - 18KB - JPEG

基底核、边缘系统
1080x810 - 64KB - JPEG

基底核相关问答

简介:基底核(Basal ganglia,有时直译为基底神经节),是大脑深部一系列神经核团组成的功能整体。它与大脑皮层,丘脑

简介:基底核在大脑半球髓质内,由尾状核、豆状核、屏状核和杏仁核组成,因胚胎发生时其位置靠近脑底,故名。尾状核

暂无相关问答

大家都在看

相关专题