炭疽_慢病毒

炭疽相关图片

宁夏第四人民医院为一名炭疽病患者成功实施VSD负压引流术
640x853 - 55KB - JPEG

美国说朝鲜有生化武器 会是著名的炭疽病
640x480 - 81KB - JPEG

炭疽 (29)
354x446 - 192KB - PNG

泰国确诊1例炭疽病感染 因宰杀食用缅甸走私山羊
640x853 - 72KB - JPEG

炭疽 (29)
427x458 - 180KB - PNG

炭疽 (29)
529x407 - 378KB - PNG

陕西确诊19例炭疽病患者 中国尚无该病监测体系
600x405 - 52KB - JPEG

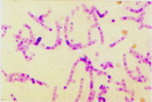
在人类和动物体内的杆状细菌炭疽菌的光显微图。它通过接触受污染的动物毛发,兽皮或排泄物传播给人类。这种疾病以两种形式出现,要么攻击肺部,导致肺炎woolsorters氏病或皮肤,产生严重的溃疡恶性脓疱。如果用抗生素炭疽治疗,可能治愈,如果不治疗,可能是致命的。放大x400在35毫米大小。
1280x855 - 164KB - JPEG

炭疽 (29)
400x300 - 111KB - PNG

炭疽杆菌病图片(第1页) - 图说健康
918x688 - 95KB - JPEG

中国警察网-炭疽
298x204 - 24KB - JPEG

炭疽细菌
1280x853 - 330KB - JPEG

关于炭疽质检总局发布公告辽宁也开展
359x289 - 17KB - JPEG

连云港村民因屠宰病牛而感染皮肤炭疽,
614x453 - 69KB - JPEG

炭疽杆菌
220x148 - 17KB - JPEG

炭疽相关问答

简介:炭疽(anthrax)是炭疽杆菌(Bacillus anthracis)引起的人畜共患的急性传染病。炭疽主要为食草动物(牛、羊、马

简介:炭疽杆菌(bacillus anthraci)属于需氧芽胞杆菌属,能引起羊、牛、马等动物及人类的炭疽病。炭疽杆菌菌体粗大,

炭疽是什么
答:屠宰、肉类加工和皮毛加工工人可能感染B型炭疽,又被称为工业性炭疽。 传播途径 炭疽主要分3种:皮肤炭疽、肺炭疽和肠炭疽。炭疽杆菌芽胞可以在土壤中存活多年。如
炭疽病病原体.
答:炭疽热这种疾病的病原体是炭疽杆菌,一种杆状细菌,具有细胞结构,属于原核生物,即细胞内无成形的细胞核,有细胞壁(肽聚糖),细胞膜,细胞质,拟核(核区有DNA),这些基本结构,还有
现在来看炭疽有那么可怕吗?
答:接触感染是本病流行的主要途径。皮肤直接接触病畜及其皮毛最易受染,吸入带大量炭疽芽胞的尘埃、气溶胶或进食染菌肉类,可分别发生肺炭疽或肠炭疽。应用未消毒的毛刷,或
炭疽怎么就成了生化武器了?
答:竟然是在1918年缴获自一名德国间谍,他们把这支玻璃管送到专业机构鉴定,发现是炭疽芽胞杆菌,而芽胞不仅仍然活着,而且仍然具有很强的致病能力。 潜伏期皮肤炭疽一般1-5天
西瓜炭疽病和叶枯病的区别
答:西瓜炭疽病和叶枯病的外形差不多,最大的区别是:炭疽病的病斑上常散生黑色小粒点或淡红色黏状物,而叶枯病的病斑只是使叶片失水青枯,相对干净。见图片对比(左为炭疽病,右
草莓炭疽病如何防治,有什么特效药吗
答:草莓炭疽病的防治方案: 1、预防方案:奥力-克-速净按500倍液稀释喷施,7天用药1次。或3亿CFU/克哈茨木霉菌叶部型300倍液,7-10天一次。 2、治疗方案:轻微发病时,奥-力克-
枣炭疽病,枣疯病,枣缩果病,从几月份防治。分别打什么药,配什么
答:最有效的方法就是连根铲除。炭疽病往往与缩果病、浆果病等交叉感染,与缩果病的主要区别在于:炭疽病病果的果核变黑,果肉味苦。缩果病果核一般不变颜色。炭疽病、缩果病
现在草莓苗期炭疽病用什么药好?
答: 预防为主,用拜耳拿敌稳
炭疽的早期症状是什么
答:我们需要注意一些早期的症状,那么,炭疽的早期症状是什么呢? 早期的炭疽症状是哪些呢: 1.皮肤炭疽 最为多见,约占95%,可分炭疽痈和恶性水肿两型。炭疽多见于面、颈、肩、
炭疽如何治疗与预后?
答:局部可用1:2000高锰酸钾液洗涤,敷以四环素软膏,用消毒纱布包扎。3.病原治疗对皮肤炭疽,青霉素分次肌注,疗程7~10日。对肺炭疽、肠炭疽、脑膜炎型及败血症型炭疽应作静

大家都在看

相关专题