什么是纵隔淋巴结钙化
300x293 - 52KB - JPEG

左肺门有结节影是什么病
300x240 - 25KB - JPEG

肺部错构瘤图片
388x479 - 16KB - JPEG

13种肺部罕见病变的影像学分析
463x376 - 20KB - JPEG

肺的里程网状改变,其内未见明显增大淋巴结,右
620x826 - 124KB - JPEG

什么原因肺结核钙化图片
589x813 - 663KB - PNG
2例:患者吸烟六十多年,他的身体发生了什么变
508x252 - 9KB - JPEG

肺门增大应想到的6个疾病
640x653 - 24KB - JPEG

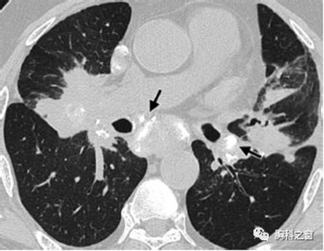
胸部影像学征象丨蛋壳样钙化征
521x366 - 14KB - JPEG

援藏专家成功实施西藏首例胸腔镜肺癌根治手术
500x338 - 35KB - JPEG

纵隔肿瘤 它的临床表现是什么 - 三九养生堂
400x294 - 26KB - JPEG
你没有见过的肺部感染(一)
376x365 - 24KB - JPEG

图文详解:孤立性肺结节的良性 VS 恶性病变
538x366 - 148KB - PNG

不典型结节病的影像学表现
335x259 - 18KB - JPEG
肺癌可能是吸烟造成的,肺癌有多少种?又该如何
500x252 - 45KB - JPEG