
特征性的遗传学改变包括()A.融合基因EWS-W
400x302 - 196KB - PNG

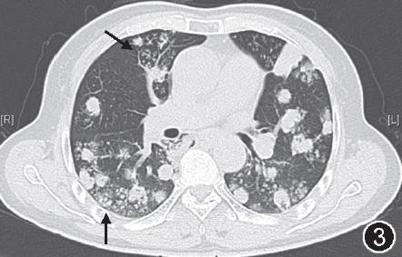
【答案公布】双肺多发结节及肿块影
442x283 - 43KB - JPEG

乳腺多发结节怎么治疗好 乳腺结节吃什么中药
338x226 - 109KB - PNG

双侧增生多发结节囊肿严重吗 用茹贝源治疗效
600x400 - 196KB - PNG

【答案公布】双肺多发结节及肿块影
518x346 - 55KB - JPEG
患者双肺多发结节影又难明确诊断,良性?恶性?
612x611 - 52KB - JPEG

一周前我妈做了甲状腺多发结节手术,切除的肿
600x800 - 71KB - JPEG
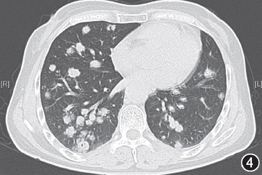
看到肺内多发结节一定要想到的9种病变
628x506 - 45KB - JPEG
【三甲读片】两肺多发结节,激素治疗后消失,你
394x248 - 13KB - JPEG
【三甲读片】两肺多发结节,激素治疗后消失,你
425x273 - 23KB - JPEG
二十五岁,乳腺多发实性结节,有经验的或者懂的
2048x1536 - 257KB - JPEG

【乳腺多发囊性结节】【图】乳腺多发囊性结节
577x480 - 32KB - JPEG

女性多发甲状腺结节 - 实用资讯
300x449 - 95KB - JPEG

重庆一男子体检发现双肺多发结节 5个结节均为
440x407 - 266KB - PNG

一例萜烯诺卡菌肺炎的实验室诊断
464x318 - 40KB - JPEG
甲状腺多发结节多发结节 (1)、 甲状腺功能正常或减低者,可先试用小剂量甲状腺激素治疗,如经治疗后,结节更为明显,应考虑手术治疗。 (2)、 毒性甲状腺结节,在甲亢得到控制后
恶性结节不足1%。临床上有多种甲状腺疾病,如甲状腺退行性变、炎症、自身免疫以及新生物等都可以表现为结节。甲状腺结节可以单发,也可以多发,多发结节比单发结节的发
太平洋亲子网症状库提供多发性结节原因、诊断、治疗等信息,让您全面了解多发性结节病因、相关疾病、检查诊断、治疗护理、预防保健及其他相关知识。 您现在的位置:母
恶性结节不足1%。临床上有多种甲状腺疾病,如甲状腺退行性变、炎症、自身免疫以及新生物等都可以表现为结节。甲状腺结节可以单发,也可以多发,多发结节比单发结节的发
什么是两肺多发小结节,右肺下叶者(img26)新生物(AAH或AIS)可能大?创建于 2013-09-03我母亲今年70岁了,去医院做CT检查。CT表现:胸廓对称,双肺纹理增粗,双下肺透光度减
若体检时触诊甲状腺发现多个结节,则称之为甲状腺多发性结节,可通过B超确诊。甲状腺结节有良恶性之分,多发结节比单结节良性可能大;结节直径大于1cm时,恶性概率较大;若
病情描述: 男,36岁。唐教授,我三月份体检出肺部多发结节,(最大8mm),四月份去湘雅二院做增强ct,我现在就想让您再看一下我这个是良性的还是恶性的,自从长沙回来之后,我经常
与甲状腺癌的关联甲状腺存有多个结节是否会减低合并甲状腺癌的风险一直是备受争议的话题。越来越多证据指出当甲状腺存有多个结节时,每个结节
使得甲状腺结节找上门来。不过,大家也无需过分焦虑,一般情况下,甲状腺结节都是良性的,若是及时调理的话,结节或许会慢慢消失哦!女性多发甲状