微博 文章 - 地包天早期干预案例(3周半)
738x448 - 302KB - JPEG

地包天如何治疗
574x332 - 29KB - JPEG

济南地包天矫正多少钱_生活百科_泰兴网
552x274 - 39KB - JPEG

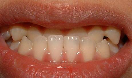
地包天牙齿矫正黄金期是何时
461x274 - 163KB - PNG

骨性地包天矫正过程
600x490 - 79KB - JPEG

地包天如何治疗
800x1066 - 75KB - JPEG

标签:+地包天
800x600 - 60KB - JPEG

小孩的牙齿地包天能矫正么?
640x480 - 105KB - JPEG

小孩地包天矫正黄金时间
284x248 - 91KB - PNG

地包天能自己咬回来吗?地包天可以自己矫正吗
456x608 - 272KB - PNG

儿童地包天怎么矫正--广州德伦口腔
350x300 - 14KB - JPEG

错过了儿童期地包天怎么矫正?_外科正牙网
360x400 - 45KB - JPEG

地包天能自己咬回来吗?地包天可以自己矫正吗
431x590 - 298KB - PNG

地包天手术整形效果好吗_外科正牙网
500x450 - 27KB - JPEG

地包天矫正需考虑年龄问题吗?_外科正牙网
360x400 - 44KB - JPEG
地包天非常常见,有些朋友没有进行矫正,殊不知这对自己的牙齿是危害是很大的,那么,地包天不矫正会有什么危害出现呢?专家指出,地包天对咀嚼功能及口腔健康的危害很大等,
地包天矫正主要采取手术治疗,同时需要在术后配合正畸治疗。常用手术方式包括:下颌升支矢状劈开截骨术,术后治疗效果比较理想,临床采用较多;下颌支垂直或斜形截骨术,术后
从小就觉得自己跟其他人不太一样,后来才知道我属于地包天,得做手术。刚开始以为是牙齿的原因,弄弄牙齿会好很多,可惜。我没那么幸运,上初中的
我们从最佳矫正时间来分析看看~龅牙一般是换完乳牙后就可以矫正,而“地包天”一般越早介入治疗越好,黄金年龄在6至9岁之间。是因为上颚骨的发
现在有很多人都会通过带牙套来矫正我们畸形的牙齿,虽然带牙套会影响自己的外貌,但是,在摘除牙套后就可以拥有一副十分精致完美的牙齿了。那么轻微地包天如何矫正?接下
你好根据你的描述,或许是:反咬合?除了上述情况外,有没有牙齿排列不齐情况?可以矫正最好去医院口腔科就诊查看具体情况拍牙片后根据检查结果选择治疗方案