
胆囊结石及时治疗是关键
640x376 - 33KB - JPEG

9.1胆囊健康日!云南结石病医院胆囊疾病义诊义检活动邀请您参与
528x227 - 70KB - PNG

胆囊多发性胆结石怎么办-搜狐
550x413 - 84KB - JPEG

胆囊结石疼痛怎么办
640x500 - 51KB - PNG

胆囊结石
442x330 - 296KB - PNG

胆囊结石伴胆囊炎_云南结石病医院_肾结石_胆结石_保胆保肾取石-亚洲专业治疗结石病的医院
338x274 - 19KB - JPEG

经常不吃早餐极易患胆结石 胆结石与胆囊癌息息相关
390x251 - 61KB - PNG

胆结石不能吃什么 胆囊结石的饮食禁忌有哪些
1000x564 - 265KB - JPEG

【百科】胆固醇性胆囊结石
392x345 - 32KB - JPEG

胆结石怎么办?
400x265 - 27KB - JPEG

军医解答:得了胆囊结石怎么办?
429x240 - 19KB - JPEG

诊断胆囊结石症的检查方法
444x315 - 120KB - PNG

胆囊结石病的症状
439x334 - 21KB - JPEG
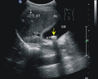
精品收藏!典型胆囊结石的三大超声特征
640x498 - 42KB - JPEG

胆囊结石CT扫描图-中文百科在线图片查看
305x225 - 11KB - JPEG
一)胆囊结石食疗方(下面资料仅供参考,详细需要咨询医生) 玉米须50克,蚌肉200克。将玉米须和蚌肉同放砂锅内,加水适量,文火煮至烂熟。隔日服1次。 黄瓜藤100克,新鲜鸡蛋1
简介:胆囊结石主要为胆固醇性结石或以胆固醇为主的混合性结石,胆囊结石主要见于成年人,女性常见,尤以经产妇和服
胆囊结石患者平时饮食要少食高胆固醇食物。可以多吃核桃木耳等,饮食规律,荤素搭配,均衡营养。结石不是很严重的话,吃药可以的。中药具有溶石化石排石,消炎利胆的作用。
39健康网疾病查询向您详细介绍胆囊结石症状,胆囊结石治疗方法,胆囊结石该怎么办,好评专家。概述:胆石症是胆道系统中最常见的病变。根据其所在部.
简介:胆石症是胆道系统中最常见的病变,根据其所在部位不同,可有胆囊结石,原发性或继发性胆总管结石,肝外胆
胆囊结石是一种很常见胆道疾病,胆囊结石的发病给患者带来极大的痛苦。不过,通过合理的方法做好预防措施,能够有效避免胆囊结石的发生.胆囊结石
本期看点胆囊结石病(gall stone disease of the gallbladder)是指原发于胆囊内结石所引起的多种胆囊病理改变的一种常见疾病。病变程度轻重不一,部分患者可无临床症状,即所谓