
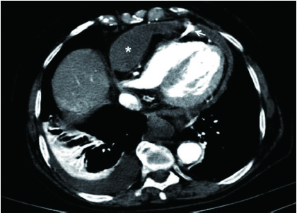
血液透析隧道导管右心室穿孔1例
420x301 - 632KB - JPEG
心脏造影4000多块,心脏CT1500块,只是价钱不
640x377 - 35KB - JPEG

心脏造影和心脏CT,哪个检查心脏病更准确?医
640x427 - 87KB - JPEG

从病例看心脏CT的临床应用
600x452 - 56KB - JPEG

军医解读:增强CT的禁忌症
635x402 - 144KB - JPEG

沪首台第三代双源CT落户六院 造影剂量仅为普
640x362 - 34KB - JPEG

骨后阵发性疼痛半年余,透视见心影稍大,CT片如
278x281 - 20KB - JPEG

看耳垂可知老人心脏状况
281x226 - 112KB - JPEG

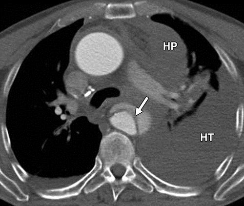
胸、背、腹痛,怀疑夹层?CT平扫,细微之处见功
500x422 - 34KB - JPEG

【病例分析】多西他赛致迟发性腹泻及肺水肿1
517x423 - 161KB - PNG
坚持,成人,背景,良性肿瘤,钙化,心脏的,照顾,胸部
680x1024 - 191KB - JPEG

CT 检查贵吗?
435x366 - 44KB - JPEG

全球最先进的CT落户南方医院
500x358 - 22KB - JPEG

16层螺旋CT在主动脉瘤中的临床诊断_四川大学
189x233 - 7KB - JPEG

一文读懂脂肪肝的影像学表现!
354x298 - 18KB - JPEG
根据CT的等级分四及分别是特A A B C 注意CT等级不代表医院等级,收费分别是头部体部A225 285 B 150 200 C100 80特A可以在A的基础上加0.15-0.25,各地方稍有不同,你可以查省医疗收费标准,这还不包含做增强的药品及费用,ECT大概800-2000,PETCT大概是8000-12000的样子
简介:CT造影增强扫描系静脉内注射一定剂量的含碘水溶性造影剂同时或紧接的CT扫描检查方法,虽然平扫CT比普通X
简介:CT扫描技术之一应用血管内对比剂的扫描。经静脉注入含碘有机化合物即造影剂,一般增强扫描用60%泛影葡胺1.
64排螺旋CT心脏冠状动脉增强扫描检查30例的护理配合,冠状动脉ct,双源ct冠状动脉,冠状动脉ct检查价格,心脏冠状动脉ct,冠状动脉ct检查,ct冠状动脉造影,冠状动脉ct多少钱,冠状
病情分析:做CT检查主要是有辐射,不过照完了辐射也不会残留在身上的, 一般对人体是没有影响的。 意见建议:建议保留这个孩子,做好孕期的检查,在怀孕22-26周时
做心脏增强ct,即冠状动脉的ct。因为要注射显影剂,所以说也不是说绝对的安全,有的人可 影响CT图像质量,从而导致误诊.在头部扫描之前,应先照X线头颅平片和断层照片.肝,胆,
心脏ct有什么用超声心动图和心脏ct的优劣对比,心脏ct有什么比较实用的诊断意义。您好,超声心动图优点:了解心室壁的动作、有无室壁瘤、心脏瓣膜活动情况和左心功能,
你好,你是心脏加强ct,也就是冠状动脉ct造影,通过冠状动脉ct造影可以,判断冠状动脉是否有狭窄。所以可以用于冠心病的诊断!你说的心脏增强ct,当然需要空腹,不能吃饭喝水。在
目的探讨64排螺旋CT心脏冠状动脉增强扫描的护理。方法 2010年5月—2011年2月我院80例疑似冠心病患者行CT增强扫描,在实施检查前,护士对所有患者进行评估,使其心率及
64 排螺旋CT心脏冠状动脉增强扫描的护理 下载积分:1000 内容提示:64 排螺旋CT心脏冠状动脉增强扫描的护理 文档格式:DOC| 浏览次数:9| 上传日期:2013-11-29 15:05:23| 文