
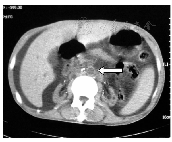
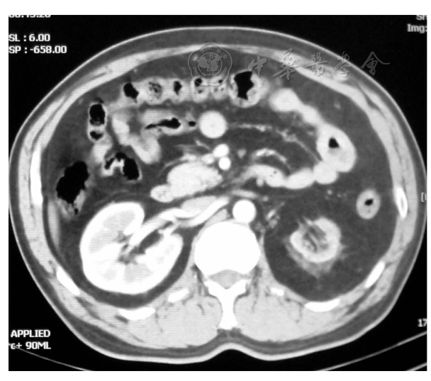
糖尿病肾病CT和MRI成像特点
605x498 - 274KB - PNG
.png)
CT动脉成像在颈动脉斑块特征与缺血性脑血管
320x429 - 27KB - PNG

糖尿病肾病CT和MRI成像特点_糖尿病肾病_CT
611x474 - 204KB - PNG

成人烟雾病侧支循环的CT血管成像特点
970x1268 - 286KB - JPEG

成人烟雾病侧支循环的CT血管成像特点
970x1269 - 289KB - JPEG

第二章 CT成像理论.pdf
800x1131 - 173KB - PNG

糖尿病肾病CT和MRI成像特点
608x538 - 334KB - PNG
肝癌号称癌肿之王,晚期生存期短,哪些办法能够
640x427 - 51KB - JPEG

G4 PET\/CT 二合一成像系统\/小动物活体 PET 及
552x293 - 8KB - JPEG

颈动脉体瘤的多层螺旋CT血管成像特征
1449x2000 - 1091KB - PNG

G4 PET\/CT 二合一成像系统\/小动物活体 PET 及
579x277 - 13KB - JPEG

CT成像技术考试大纲.doc
141x200 - 8KB - PNG

主动脉疾病CT血管成像.pptx
1152x864 - 92KB - PNG

CT成像原理与临床应用总结.doc
816x1056 - 46KB - PNG

为什么要你做核磁共振(MRI)而不是CT?
336x261 - 13KB - JPEG
(二)CT成像的特点特点,CT,成像,CT成像,成像的特点,CT成像,ct成像,CT的成像 经济/贸易/财会-- 财政/国家财政 扫扫二维码,随身浏览文档 手机或平板扫扫即可继续访问 推荐豆丁
SPEC,PET,CT,MR成像原理及其特点比较 你好1416|2018-06-30 |举报 共享文档 共享文档是百度文库用户免费上传的可与其他用户免费共享的文档,具体共享方式由上传人自由
成年人缺血型烟雾病的CT成像特点 下载积分:2990 内容提示:成年人缺血型烟雾病的CT成像特点 文档格式:PDF| 浏览次数:3| 上传日期:2016-02-05 16:46:37| 文档星级: 该用户
3.建立了数字化标准常规X线摄影胶片中的密度差别,只能依靠观片医生的经验以及与邻近组织结构的对照,没有一个数字化的标准。由于是数字成像,C
【摘要】医学功能影像领域各种新技术层出不穷,已成为多学科交叉的研究热点。特别是CT、MR功能成像技术发展迅速,在中枢神经系统疾病、心血管系统疾病、以及肿瘤诊断
在临床解剖学意义上它无法与CT、MRI等影像技术比较。再有,PET、CT检查是放射检查,从某种意义上说,这种检查对人体健康会带来一定的不良影响,而MRI成像的磁场强度范围
CT成像技术包括为图像重建技术,采集技术以及建后处理技术等,并具备层面扫描的特征。在实际操作中,可以利用探测器,来实现对X射线不同点的数
广西医科大学硕士学位论文心房颤动患者左房形态解剖学CT成像特点研究姓名:曾德银申请学位级别:硕士专业:心血管指导教师:刘浩0090501心房颤动患者左房形态:N:-N学CT成
【摘要】:目的:探讨不同病理类型膀胱癌能谱CT成像特点。方法:20例病理证实的膀胱癌患者接受了能谱CT检查(男性18人,女性2人,年龄44~87岁,平均年龄64岁)。对病灶部位进
以提高CT影像学检查对甲状腺结节的诊断率。方法回顾性分析40例甲状腺乳头状癌和95例结节性甲状腺肿腺体及病灶的CT成像特点。结果结节性甲状腺肿和乳头状腺癌在发病