
婴儿支气管炎多久能好 怎样预防小儿支气管炎
525x700 - 90KB - JPEG

【图】支气管炎多久能治好 三款茶助你缓解症
450x276 - 17KB - JPEG
小孩支气管炎 不用吃药就能好的中医秘方
500x320 - 19KB - JPEG
小孩支气管炎 不用吃药就能好的中医秘方
400x300 - 14KB - JPEG

冬季患上支气管炎的人,牢记少吃3物,多喝1茶,能
640x420 - 16KB - JPEG

您们棒棒忙吧!四个月大的宝宝轻微支气管炎到
270x480 - 20KB - JPEG

老年慢性支气管炎咳嗽有痰,咳不出?6种排痰方
624x435 - 25KB - JPEG

冬季患上支气管炎的人,牢记少吃3物,多喝1茶,能
640x420 - 40KB - JPEG
要想真正调理好慢性支气管炎需要多长时间?
637x509 - 30KB - JPEG

喘息性支气管炎的治疗
500x340 - 191KB - JPEG

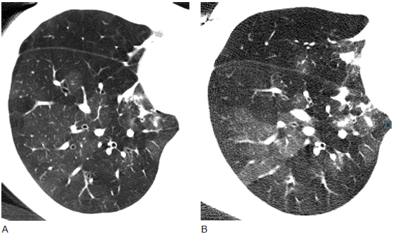
3类细支气管炎的影像学特征(多图)
570x343 - 181KB - PNG

冬季患上支气管炎的人,牢记少吃3物,多喝1茶,能
640x420 - 80KB - JPEG

感冒夺命!支气管炎及哮喘需尽早服用气片
424x411 - 14KB - JPEG

春季预防儿童气管炎须留心 三个小症状!
449x328 - 14KB - JPEG
#王源# #TFBOYS王…
700x525 - 59KB - JPEG
预防支气管炎: 一、饮食宜忌。支气管炎的饮食以清淡为主。可多吃些易消化的食物,如面条、稀粥、面汤、牛奶等,还应多吃梨、柚子、橘子等具有止咳化痰作用且富含维生素的水果,多吃蔬菜。辛辣刺激的食物对气管刺激很大,尽量少吃或者不要吃。 二、保持良好的家庭环境卫生。保持室内空气流通,经常开窗换气。经常打扫卫生,屋里不要有灰尘。外出时要尽量带口罩,注意避开有粉尘、刺激性气体的地方。 三、坚持锻炼身体。经常锻炼身体,能增强体质,提高抵抗力,防止呼吸道感染,可预防或减少本病发生。但是锻炼身体适度就行,不可过量,而且尽量选择
支气管炎几天能好 高科负氧离子研究所|2018-06-28 |举报 高科负氧离子研究所高科负氧离子研究所是国内外首家专业从事空.|总评分0.0|文档量0|浏览量0 共享文档 共享文档是
你好,很高兴为你解答。这种情况应根据病情和具体治疗结果决定。一般需要一到两周。你也可以同时配合中药治疗。饮食应清淡,忌食辛辣刺激性食物。
你好,根据您的情况考虑,有可能是病毒感染,或者是细菌感染等原因导致,建议平时多喝温开水,清淡饮食,多休息,不要吃辛辣刺激性食物,可以服用阿奇霉素,鲜竹沥口服液,甲硝唑,甘草片,必要时需要打点滴,抗生素,抗病毒药物治疗。
喉咙肿疼,咳嗽时气喘,有哮鸣音,应该支气管并扁桃体感染,应该应用抗生素治疗,可以改为输液头孢曲松钠,继续雾化吸入,配合喝中药治疗,这样好的快。
挺麻烦的病,要一次性治疗彻底,否则容易演变成肺炎或慢性气管炎,一般医院都说输液7-10天左右吧,咳嗽的话比较麻烦,可能还需要久一点,吃点止咳
问:你好医生,我去医院检查确诊为急性支气管炎。输液两天不见效果。前面检查只拍了个片子,我想问一下我需不需要再做个痰培养或其他检查?有没有好的建议?一般多久能好?
支气管炎吃药几天能好 支气管炎本身疗程需要七到十天左右,治疗原则主要以控制感染、祛痰止咳平喘、解热镇痛、对症治疗为主。生活习惯上应注意清淡饮食、适当休息,同时
气管炎多久能好 气管炎分为急性和慢性两种。气管炎的病程可长可短,如果在两周以内恢复称为急性气管炎或急性支气管炎;如果是一个月甚至时间更长,有可能是亚急性或慢性