坐一次飞机相当于拍了几张胸片?快来看看生活
640x426 - 37KB - JPEG

患者,男,67岁,胸痛半月余,胸片检查如图,最可能
299x225 - 11KB - JPEG
胸片容易忽略的15个异常征象
408x394 - 14KB - JPEG
胸片容易忽略的15个异常征象
474x391 - 24KB - JPEG

梦露X光胸片拍出高价
400x300 - 14KB - JPEG

国内数字摄影胸片DR厂家报价多少钱?
340x267 - 7KB - JPEG

秒懂教学!这下终于会看胸片了
640x418 - 27KB - JPEG

下述胸片的表现是()A.肺实变B.肺不张C.叶间积
358x263 - 33KB - JPEG

入院治疗精神病须先拍胸片?家属质疑福州市第
495x290 - 73KB - JPEG

胸片中不可忽视的诊断(下)_胸片_关键诊断
332x355 - 70KB - PNG

循环系统在胸片上的异常表现 |基础篇
658x398 - 378KB - PNG

拍胸片为何不能发现早期肺癌
460x373 - 67KB - JPEG

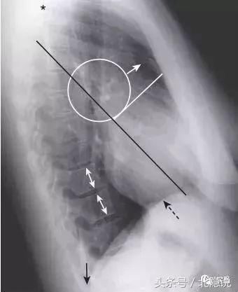
X线侧位胸片的诊断关键看这5个地方!帮你总结
340x417 - 14KB - JPEG

胸片正常就没有得肺癌?-提供留学,移民,理财,培
300x400 - 47KB - JPEG

【拍胸片能检查出什么】【图】解读拍胸片能检
447x334 - 25KB - JPEG
我11月1日来月经,5号结束,17号排卵,20号单位组织体检照了胸片,12月1日检. 你好,根据你的描述,怀孕
单位体检做了C13呼吸测试和胸片,需要多久后才能备孕 你说的这个情况,进行x光检查,如果想怀孕,来一次
贲门肿物患者诊后咨询内蒙古自治区人民医院胃肠外科王举,医生处置方案:B超,造影,验血,C13呼气,胸片,
声带息肉患者诊后咨询山东省立医院耳鼻喉科叶犇,医生处置方案:胸片,肺部检查,心脏彩超,C13,问题:
14年12月12日做过胃镜是浅表性胃炎,彩超,胸ct上腹ct,c13,x胸片,心电图,血检便检都,常。但是左胸口和
前前后后检查了很多次,胸片、心电图、心脏彩超、C13呼气试验、血常规都正常。食欲正常,目前只有睡着和
在三甲医院拍过胸片、做过血常规、心电图、心脏彩超、C13呼气试验都正常。这是不是神经官能症?
胸片也是不要紧的,再怀孕最早期,胎儿与母体联系是不大的,不会对胎儿哺乳期可以做C13幽门螺旋杆菌检查
常。但是左胸口和对应背部,剑突下面,肚脐的左右两侧,每天都会串着痛,疼痛点不固定。