非肺癌高危人群,体检拍胸片是不是就不用做?
400x300 - 17KB - JPEG

宗建平:半夜里的陷阱--急诊医师值班日志之125
554x551 - 1195KB - PNG
胸片容易忽略的15个异常征象
408x394 - 14KB - JPEG
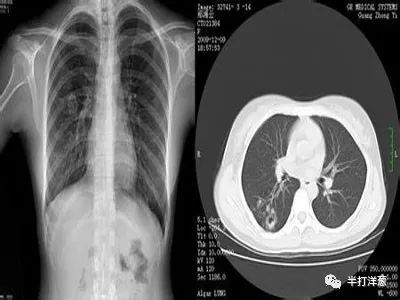
胸片没事,CT却查出肺癌,胸部体检应该怎么选?
960x795 - 104KB - JPEG

简单又复杂,聊聊扩张型心肌病背后的原因
461x391 - 20KB - JPEG

手把手教你get阅读胸片(一)_胸片_归纳_分类
341x343 - 97KB - PNG

6步法从胸片进行胸部评估_胸片_胸部评估
584x378 - 33KB - JPEG
胸片阅读技巧超全解析!
640x480 - 32KB - JPEG

我回答了 @我是一只皮球 的问题,问题价值. 来
1333x750 - 56KB - JPEG
胸片上怎么区分胸膜增厚和胸腔积液? - 今日头
640x658 - 36KB - JPEG

胸片薄薄一张,信息可不少
400x313 - 18KB - JPEG

秒懂教学!这下终于会看胸片了
640x418 - 27KB - JPEG

全屏显示课程章节
1000x1042 - 62KB - JPEG
坐一次飞机相当于拍了几张胸片?快来看看生活
640x426 - 37KB - JPEG

国内数字摄影胸片DR厂家报价多少钱?
340x267 - 7KB - JPEG
胸片检查,快捷低廉,经常是临床医生拿到的一手资料。但面对黑漆漆的胶片,如何才能确定正常、发现异常呢?
胸片就是胸部的χ片,临床上都叫胸片。胸片在临床上应用广泛,百姓的认识越来越深,所以介绍。受检者取站立
教你怎么看懂X光胸片,本篇教你如何自己初步判断,胸片上反应的各种信息。其实,读懂X光胸片报告单是一种很
教你怎么看正常的胸片,很多病人在医院拍完胸片后,都不知道病变处是哪里,是支气管,肺,肋骨还是胸膜病变
教你如何看胸片,刚步入医学影像诊断学的你是不是很苦脑,怎样看胸片?从哪些方面了解胸片等等,下面为你们
胸片是最普遍也最为人们所熟知的医学影像检查。即便如此,“一团黑”的胸片也让人们大呼“看不懂”。如何看
胸透和胸片的区别。简单来说,胸片主要是观察静态影像学的改变,就像照片一样,是一个平面的表现,可以看到
胸片-胸片就是胸部的χ片,临床上都叫胸片。胸片在临床上应用广泛,百姓的认识越来越深,所以介绍。受检者