
女,57岁,胸痛,咳嗽1月余,不发热,咳白色痰,无痰
472x351 - 20KB - JPEG

男性,42岁,近2年来无明显诱因反复出现咳嗽,痰
181x270 - 16KB - JPEG
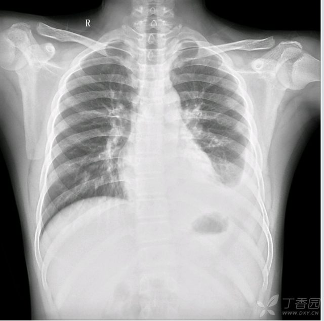
![读片挑战:男,13岁,咳嗽,发热,胸痛2天 [病例帖]](https://img1.dxycdn.com/2018/0127/168/3257697593442590250-16w.jpg!w640)
读片挑战:男,13岁,咳嗽,发热,胸痛2天 [病例帖]
640x634 - 41KB - JPEG

肺热咳嗽与肺寒咳嗽有何区别?
500x330 - 43KB - JPEG
高三学生咳嗽发热,病情突然加重,重症肺炎,和妈
360x239 - 30KB - JPEG
同寝女大学生先后发热、咳嗽,为何治疗后一个
238x233 - 7KB - JPEG

【阜外病例】一位反复发热、干咳伴胸痛的少女
600x277 - 30KB - JPEG
80岁老人胸痛不止,医生下了病危通知,三个儿子
800x614 - 35KB - JPEG

小孩咳嗽有痰吃什么好 小孩咳嗽食疗方法 - 百
400x400 - 15KB - JPEG
德州家长注意!新一波感冒病毒来袭!症状很诡异
491x293 - 17KB - JPEG

肺癌的状况有很多,多数都表现在咳嗽,胸痛,发热
400x294 - 30KB - JPEG

充满了白细胞暗紫色中心。这满肺泡导致胸痛,
1280x851 - 670KB - JPEG

2017CACP丨王辰院士:间断咳嗽、发热1月,伴
350x221 - 56KB - JPEG

发热伴咳嗽咯痰胸痛
270x198 - 13KB - JPEG

支气管扩张的分型_支气管扩张
451x280 - 23KB - JPEG
健康咨询描述:上个月13号开始反复发烧,一直咳嗽,后胸痛。医生说是肺炎但没两天又开始发烧,咳嗽,胸痛。
发现小儿发烧后不必惊慌,发热儿童咳嗽一般是感冒发烧的伴随症状,而喉咙发炎则是咳嗽的后发症状,同时喝
第二天全身酸痛偶尔咳嗽胸痛气短,运. 发烧几天了,一直反复发烧,咳嗽,头昏胀痛,全身酸痛,拉不出
反复发烧,剧烈咳嗽,胸痛浑身疼痛 医生回答(1) 王保顺 住院医师 山东省冠县辛集中心卫生院 2017-12-29 15:
健康咨询描述:您好,我爸爸咯血做发热多是由细菌或病毒感染引起的.治疗以抗生素为主.单纯的使用退烧药.是
上个月13号开始反复发烧,一直咳嗽用拔罐法治疗感冒症状:鼻塞流涕,打喷嚏,咽痛咳嗽,头痛,全身酸痛,怕冷等.
反复发烧,一直咳嗽,胸痛 满意回答 您好,这种情况需要及时检查,考虑是肺炎了,需要输液治疗的.有什么不明白
一个月来反复咳嗽、发烧、胸痛一个月,经诊断咳嗽待查,结核性胸膜炎,前两天刚做的彩超,今天医生又建议
反复发热、咳嗽、胸痛2个月。晚期!无手术机会!本病例来源于轻盈医学App社区,感谢轻盈医学注册用户