
男子反复头痛以为是感冒 十余天后却被告知病
444x532 - 361KB - PNG
男子反复头痛以为是感冒 十余天后却被告知病
640x751 - 69KB - JPEG

湖南一男子反复头痛以为是感冒 十余天后却被
681x799 - 182KB - JPEG

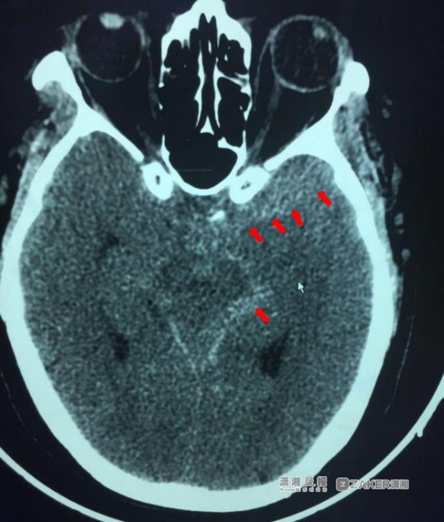
反复发烧头疼会脑膜炎么前十天左右感冒有点发
580x330 - 46KB - JPEG
最近这个感冒老是反反复复的,搞得本奶奶非常
480x480 - 33KB - JPEG

失眠头痛、腰酸背疼、反复感冒
640x600 - 73KB - JPEG

江永一男子反复头痛以为是感冒,辗转多家医院
543x509 - 37KB - JPEG

头痛呕吐被误以为是感冒,输液三天无效,竟是肿
512x384 - 14KB - JPEG
男子感冒头痛,到了医院却告病危?这类感冒
640x751 - 53KB - JPEG

感冒头疼能喝安乃近吗连续两天每天三次一次服
592x513 - 41KB - JPEG

【感冒 头部按摩穴道图解】【图】感冒头部按
365x455 - 36KB - JPEG

头晕?胸闷?吹空调还会突发面瘫 怎么办?
489x380 - 64KB - JPEG

养生:春季气温反复 防感冒10大妙招
400x300 - 23KB - JPEG

左边偏头痛感冒压力大怎么办
300x200 - 21KB - JPEG

感冒反反复复?4个民间偏方让感冒好得快!
576x353 - 18KB - JPEG
我身体素质不太好,一直以来经常会有些感冒头痛发生.想得到帮助:出现这样的情况经常感冒头疼怎么办
健康咨询描述:头痛 感冒头痛吃药病情分析: 您好,这位朋友,根据您的提问,反复感冒考虑与免疫力低下有关.
病情分析:经常感冒头痛说明你自身免疫抵抗力差。您容易感冒,反复感冒,且感冒后迁延不愈主要考虑是由于
病情分析:这位朋友您好,上呼吸道感染即俗称的感冒,为邪毒侵入机体所致,会导致头痛、乏力病人反复头痛,
你好,您经常出现感冒头痛的症状,建议最好还是检查鼻窦ct看看。经常反复感冒往往是因为气虚卫表不固,易遭
根据你的描述来看,你的情 况还是感冒所导致的不适的.建议你最好多饮水,适度的休息,不要劳累,同时做血
病情描述:今年 反复感冒 过两次,现在病已经好了还一直头疼头晕是什么原因痉挛 性收缩引起头痛(6)头部附近