
CTO最新临床研究与案例报道|博冠精点
429x415 - 19KB - JPEG

华西医院切除一巨大颅内占位性病变_国内新闻
1136x852 - 132KB - JPEG

病变的肿瘤
500x375 - 293KB - PNG

今年最火单曲,鞠文娴《病变》欢迎演出邀约
789x522 - 77KB - JPEG

胆囊息肉样病变是什么意思
225x220 - 11KB - JPEG

病变中文版下载_病变单机游戏下载
920x640 - 76KB - JPEG

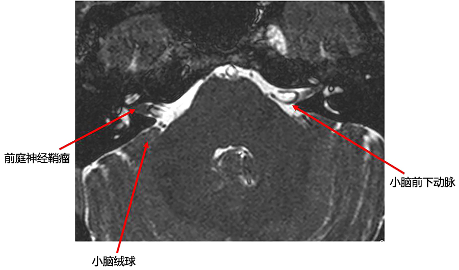
多图:桥小脑角区正常影像解剖及常见病变
900x529 - 192KB - JPEG

冠脉病变分析与新型支架比较的OCT最新研究
543x299 - 382KB - PNG

上述病变可能来源于()
446x681 - 126KB - JPEG

头部伤口愈合
620x826 - 187KB - JPEG

白点状视网膜病变图 白点状视网膜病变图
550x521 - 217KB - JPEG

自我诊断眼底病变前兆的重要注意点!
506x351 - 21KB - JPEG
分享猪解剖病变图!+-+猪病防治
680x510 - 37KB - JPEG

国内首创 珠海赛纳全彩多材料3D打印
640x480 - 73KB - JPEG

年轻男子恶性高血压视网膜病变,危及生命,原因
558x755 - 35KB - JPEG
《BINGBIAN病变》女生版由鞠文娴演唱,Jurrivh作曲,苏州文弘公司出品。
病变 (英文名:Lesion) 病变 Lesion 是一把以 提佩多 为原材料的制造出来的 Infested 长柄武器.当触发
病变是什么意思.病变是什么意思 展开全部 医学词汇,病变是个很普通的词汇,意思很简单,就是人体器官组织
《BINGBIAN病变》女版原曲Shelter(避难所),由鞠文娴演唱,2018舞曲上线,舞曲由光音坊阳少完成,相聚时代
临床工作中,常常遇到这种情况,一位病人手里拿着一张B超报告单或CT报告单,看到诊断报告上写着某某病变或
斐成章《病变》,主角:陈微扬┃配角:鄢楼,傅蓝,祁子希,周胤白,腾杉┃其它:,强强 相爱相杀 悬疑推理