
好牙依科普:烤瓷牙的危害
597x450 - 26KB - JPEG

烤瓷牙修复
268x201 - 6KB - JPEG

烤瓷牙的危害
371x240 - 135KB - PNG

【做烤瓷牙的危害】【图】做烤瓷牙的危害是什
400x400 - 29KB - JPEG

做烤瓷牙的危害|life.yxlady.com
400x400 - 28KB - JPEG

做烤瓷牙疼吗
397x305 - 38KB - JPEG

做烤瓷牙会不会对牙齿产生危害--北京雅靓健康
652x595 - 78KB - JPEG

好牙依科普:烤瓷牙的危害
637x421 - 22KB - JPEG

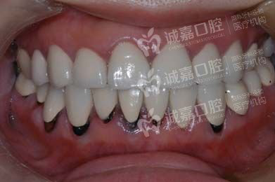
烤瓷牙的危害 诚嘉告诉您
391x260 - 119KB - PNG

烤瓷牙的危害 这四种危害你都了解吗(2) - 民福
400x294 - 26KB - JPEG

烤瓷牙导致牙龈变黑的原因
434x209 - 9KB - JPEG

烤瓷牙的危害 这四种危害你都了解吗(2) - 民福
400x294 - 23KB - JPEG

烤瓷牙的危害 诚嘉告诉您
320x334 - 180KB - PNG

普通烤瓷牙的危害
502x365 - 29KB - JPEG

镍铬烤瓷牙不要盲目拆换(组图)
300x440 - 17KB - JPEG