肾癌早期的五个表现

肾癌早期的五个表现相关图片

肾癌早期有五个表现
720x405 - 29KB - JPEG

肾癌早期的五个表现
484x300 - 18KB - JPEG

早期肾癌有什么临床表现吗?
1080x711 - 80KB - JPEG

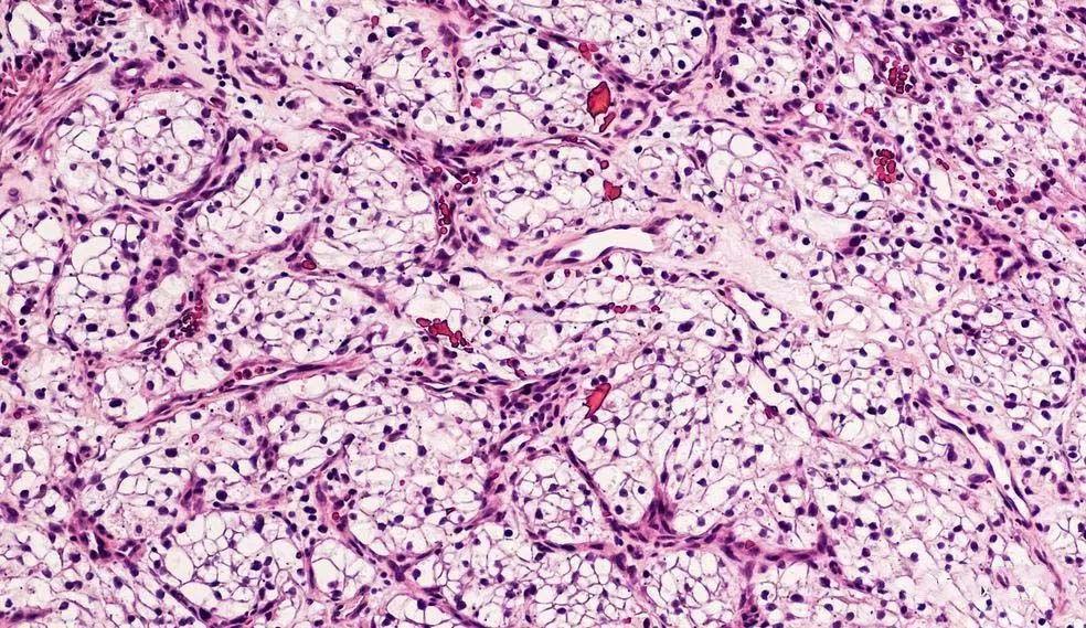
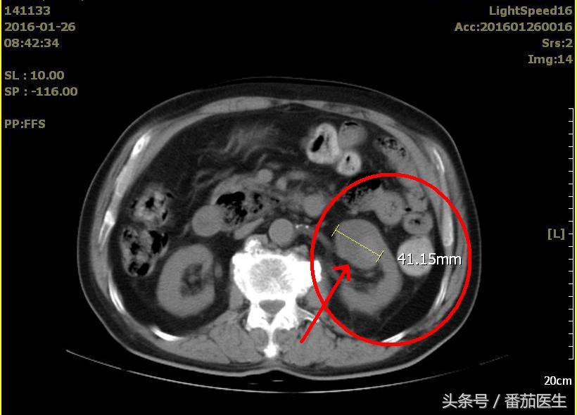
肾癌的早期症状ct图片
500x324 - 66KB - JPEG

小便颜色这样是早期肾癌前兆!
820x590 - 111KB - JPEG

早期肾癌术后寿命问题
337x190 - 12KB - JPEG

你不可不知,肾癌早期手术后还能活多长时间
450x337 - 26KB - JPEG

早期肾癌是否需要用药预防复发和转移?
439x235 - 17KB - JPEG

早期肾癌B超检查发现率高
393x263 - 12KB - JPEG

肾癌早期切除后能活多久
337x190 - 11KB - JPEG

肾癌早期手术存活率怎么样?
523x438 - 31KB - JPEG

【早期肾癌90%治愈,别等到有症状看病,
640x549 - 33KB - JPEG

早期肾癌有什么临床表现吗?
984x569 - 200KB - JPEG

谈谈早期肾癌的预后情况
571x447 - 43KB - JPEG

肾癌早期切除复发概率
676x382 - 320KB - JPEG

肾癌早期的五个表现相关问答

暂无相关问答

大家都在看

相关专题