肺钙化灶是什么意思

肺钙化灶是什么意思相关图片

左肺上叶钙化灶是什么意思?
600x414 - 171KB - PNG

肺钙化灶是什么意思 肺部钙化是甚么意思?
650x866 - 43KB - JPEG

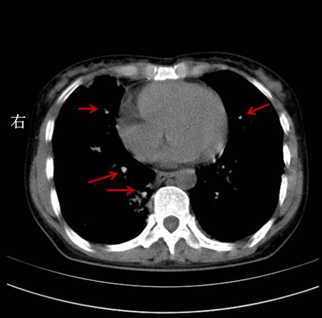
肺部微小结节样钙化灶
500x375 - 27KB - JPEG

胸片发现肺内钙化灶,我该怎么办?
1200x1600 - 112KB - JPEG

肺结核钙化了是什么意思?哪些疾病还可能
512x512 - 34KB - JPEG

右肺中叶纤维灶是什么意思严重吗
286x314 - 12KB - JPEG

肺结核仅仅是某中学事件吗?!真相也许会吓
640x632 - 29KB - JPEG

双上肺陈旧性肺结核右中肺野钙化灶
500x463 - 34KB - JPEG

左肺下叶钙化灶是什么病
500x500 - 26KB - JPEG

左肺下叶钙化灶是什么病
300x364 - 16KB - JPEG

左肺下叶钙化灶是什么病
533x300 - 24KB - JPEG

左上肺钙化灶 左上肺纤维钙化灶是啥病要
600x457 - 50KB - JPEG

医学影像园
1257x1251 - 195KB - JPEG

肺部有结节和钙化灶就一定是肺结核吗?
354x307 - 19KB - JPEG

左肺下叶钙化灶是什么病
500x765 - 57KB - JPEG

肺钙化灶是什么意思相关问答

暂无相关问答

大家都在看

相关专题