垂体rathke囊肿

垂体rathke囊肿相关图片

垂体病变-rathke囊肿.ppt
800x600 - 58KB - JPEG

垂体Rathke裂囊肿PPT
1080x810 - 40KB - JPEG

垂体Rathke裂囊肿 ppt课件
1080x810 - 41KB - JPEG

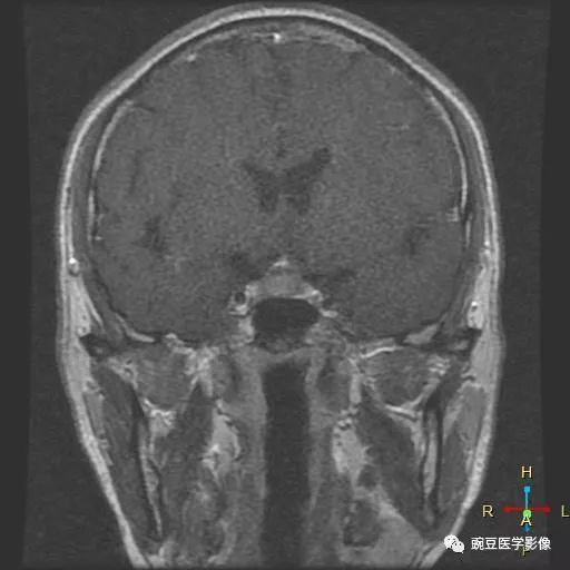
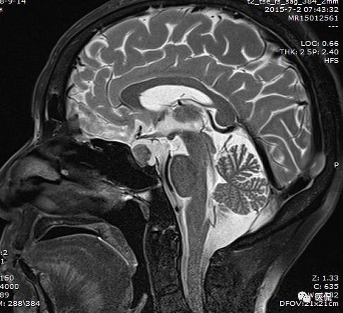
内混杂信号包块,Rathke囊肿?垂体瘤囊变?
512x512 - 20KB - JPEG

垂体Rathke裂囊肿 ppt课件
1080x810 - 34KB - JPEG

脑垂体异常的早期症状
500x375 - 30KB - JPEG

轻盈医学丨Rathke囊肿影像学表现,以及
440x239 - 18KB - JPEG

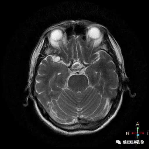
垂体Rathke囊肿,你见过这种影像表现吗?
486x443 - 43KB - JPEG

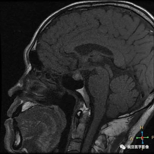
垂体Rathke囊肿,你见过这种影像表现吗?
483x447 - 32KB - JPEG

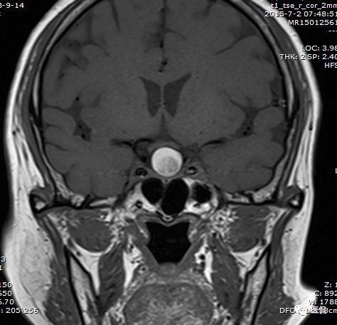
垂体Rathke囊肿,你见过这种影像表现吗?
474x456 - 32KB - JPEG

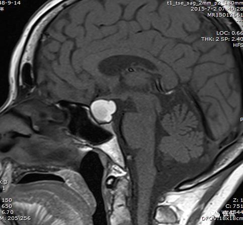
内混杂信号包块,Rathke囊肿?垂体瘤囊变?
512x512 - 21KB - JPEG

垂体Rathke囊肿的诊断和经蝶窦手术治疗
2052x3018 - 200KB - PNG

垂体病变-rathke囊肿.ppt
800x600 - 38KB - JPEG

内混杂信号包块,Rathke囊肿?垂体瘤囊变?
512x512 - 24KB - JPEG

内混杂信号包块,Rathke囊肿?垂体瘤囊变?
512x512 - 26KB - JPEG

垂体rathke囊肿相关问答

暂无相关问答

大家都在看

相关专题