
江苏龙卷风已造成98人遇难,医护人员如何
600x417 - 85KB - JPEG

激素脸的逆光疹,很多人不了解
400x300 - 10KB - JPEG

【图】突然掉一块头发是怎么回事 3个症状
406x345 - 38KB - JPEG

航海海组成
300x300 - 31KB - JPEG
对于新生儿胎记,家长该如何对待?
1023x682 - 368KB - JPEG

毛流的概略说明
564x231 - 22KB - JPEG

这种斑宝宝身上超过6个就要注意了! (原创)
500x274 - 51KB - JPEG

直男最大的误解:姑娘总对着他们脸红
986x824 - 43KB - JPEG
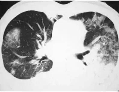
如何从肺CT上看人品、看艾滋病
439x313 - 28KB - JPEG
留意!武汉不明原因肺炎临床表现公布 致病
396x307 - 14KB - JPEG

关于脱发你清楚吗
388x240 - 11KB - JPEG

宁夏农村地区适合养殖牛、羊、马、鸡、
352x332 - 96KB - JPEG

少见的*反派性毛章-价格:1.0000元-au
1175x1204 - 291KB - JPEG
如何从肺CT上看人品、看艾滋病
512x360 - 35KB - JPEG

内源性毛霉菌眼内炎1例| AME病例讨论_左眼
1080x459 - 39KB - JPEG