怎样去除牙结石

怎样去除牙结石相关图片

自己在家怎样去除牙结石
500x667 - 42KB - JPEG

牙结石怎么去除小窍门食醋刷牙法
478x308 - 19KB - JPEG

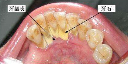
刷牙可以去除牙结石吗
421x211 - 154KB - PNG

牙结石可以自己抠掉吗,教你4招,这样去除牙
640x427 - 23KB - JPEG

小苏打去除牙结石
576x300 - 23KB - JPEG

牙结石 \/ 折纸人
501x332 - 20KB - JPEG

自己怎样去除牙垢牙结石
300x300 - 24KB - JPEG

怎样去除牙结石?
500x279 - 155KB - PNG

怎样去牙结石妙招_怎样有效去除牙结石
500x330 - 27KB - JPEG

为什么会有牙结石,怎样去除牙结石?
383x212 - 14KB - JPEG

怎样有效去除牙结石?学会这3个小妙招,
640x475 - 28KB - JPEG

为什么会有牙结石,怎样去除牙结石?
460x382 - 331KB - PNG

有了牙结石要怎么去除
628x353 - 35KB - JPEG

怎样去牙结石妙招_怎样有效去除牙结石
500x330 - 32KB - JPEG

电动牙刷可以去除牙结石吗?刷牙时别踏进
447x351 - 38KB - PNG

怎样去除牙结石相关问答

暂无相关问答

大家都在看

相关专题