肾门

肾门相关图片

请问肾门的名词解释是什么
457x295 - 28KB - JPEG

肾门的搜索结果_百度图片
500x577 - 42KB - JPEG

肾门的结果_百度图片
500x632 - 44KB - JPEG

肾门
200x264 - 11KB - JPEG

附图】 图B:肾囊肿Bosniak Ⅱ,右肾门水平
555x521 - 81KB - JPEG

肾门
800x844 - 64KB - JPEG

肾门解剖的搜索结果_百度图片
500x375 - 19KB - JPEG

肾门静脉
268x338 - 27KB - JPEG

肾门
1272x539 - 125KB - JPEG

丢肾门
224x225 - 17KB - PNG

肾门深部肿瘤
680x510 - 39KB - JPEG

肾结石从肾门到了膀胱,能排出来吗?
320x240 - 18KB - JPEG

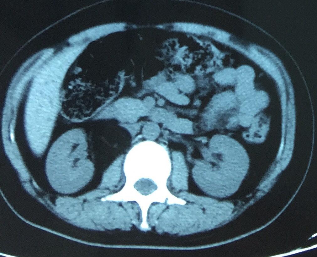
一例比较难的肾门肿瘤
1011x818 - 117KB - JPEG

肾门结石
640x640 - 73KB - JPEG

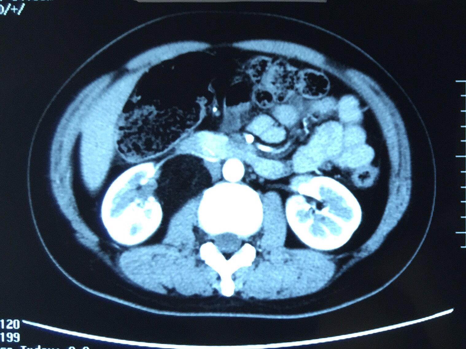
一例比较难的肾门肿瘤
1518x1138 - 215KB - JPEG

肾门相关问答

暂无相关问答

大家都在看

相关专题